相关产品推荐更多 >
万千商家帮你免费找货
0 人在求购买到急需产品
- 详细信息
- 文献和实验
- 技术资料
- 应用范围:
产品信息以Bioss网站为准
- 规格:
50ul/100ul/200ul
| 规格: | 50ul | 产品价格: | ¥1180.0 |
|---|---|---|---|
| 规格: | 100ul | 产品价格: | ¥1980.0 |
| 规格: | 200ul | 产品价格: | ¥2800.0 |
| 产品编号 | bs-13344R |
| 英文名称 | GGA2 Rabbit pAb |
| 中文名称 | γ-衔接蛋白相关蛋白2抗体 |
| 英文别名 | 1200007E24Rik; ADP ribosylation factor binding protein 2; ADP ribosylation factor binding protein GGA 2; ADP ribosylation factor binding protein GGA2; ADP-ribosylation factor-binding protein GGA2; ARF-binding protein 2; FLJ20966; gamma adaptin related protein 2; gamma ear-containing; gamma-adaptin-related protein 2; GGA 2; Gga2; GGA2_HUMAN; Golgi associated gamma adaptin ear containing ARF binding protein 2; Golgi localized gamma ear containing ARF binding protein 2; Golgi-localized; KIAA1080; Vear; VHS domain and ear domain containing protein; VHS domain and ear domain of gamma adaptin; VHS domain and ear domain of gamma-adaptin. |
| 产品应用 | IHC-P=1:100-500, IHC-F=1:100-500, IF=1:100-500 Not yet tested in other applications. |
| 交叉反应 | Rat (Human, Mouse, Dog, Pig, Cow, Rabbit, Sheep) |
| 抗体来源 | Rabbit |
| 免疫原 | KLH conjugated synthetic peptide derived from human GGA2 |
| 亚型 | IgG |
| 性状 | Liquid |
| 纯化方法 | affinity purified by Protein A |
| 克隆类型 | Polyclonal |
| 理论分子量 | 67 kDa |
| 浓度 | 1mg/ml |
| 储存液 | 0.01M TBS (pH7.4) with 1% BSA, 0.02% Proclin300 and 50% Glycerol. |
| 研究领域 | Signal Transduction > Protein Trafficking > Organelle Proteins |
| 亚基 | Monomer. Interacts with NECAP1, TSG101, UBC and AFTPH/aftiphilin. Interacts with CNST (By similarity). Interacts with GGA1 and GGA3. Binds to clathrin and activated ARFs. Binds RABEP1 and RABGEF1. Interacts with the type-I membrane proteins SORT1, SORL1, LRP3, M6PR/CD-MPR, IGF2R/CI-MPR and BACE1. Binds the accessory proteins CCDC91, P200, SYNRG, EPN4 and NECAP2. |
| 亚细胞定位 | Golgi apparatus; trans-Golgi network membrane. Endosome membrane. |
| 组织特异性 | Ubiquitously expressed. |
| 翻译后修饰 | Ubiquitinated. |
| 相似性 | Belongs to the GGA protein family. Contains 1 GAE domain. Contains 1 GAT domain. Contains 1 VHS domain. |
| 功能 | Plays a role in protein sorting and trafficking between the trans-Golgi network (TGN) and endosomes. Mediates the ARF-dependent recruitment of clathrin to the TGN and binds ubiquitinated proteins and membrane cargo molecules with a cytosolic acidic cluster-dileucine (AC-LL) motif. |
| 保存条件 | Shipped at 4℃. Store at -20℃ for one year. Avoid repeated freeze/thaw cycles. |
| 注意事项 | This product as supplied is intended for research use only, not for use in human, therapeutic or diagnostic applications. |
| 背景资料 | A family of proteins, the GGAs (Golgi-localized, g-adaptin ear-containing, ARF-binding proteins) sequences that showed significant homology to the carboxy-terminal 'ear' domain of g-adaptin. Members of the GGA family (GGA1,GGA2 (also known as VEAR or VHS domain and ear domain of g-adaptin) and GGA3) are ubiquitous coat proteins that facilitate the trafficking of proteins between the trans-Golgi network and the lysosome. However, unlike g-adaptin, the GGAs are not associated with clathrin-coated vesicles or with any of the components of the AP-1 complex. GGA1 and GGA2 are also not associated with each other, although they colocalize on perinuclear membranes. GGA2 shares 45% amino acid sequence identity with GGA1 and 35% with GGA3. In addition to being involved in heterotypic vesicle/suborganelle interactions associated with the Golgi complex, GGA2 may have a tissue-specific function and is highly expressed in kidney, muscle and heart. Furthermore, the VHS domain of GGA2 binds to the acidic cluster-di-leucine motif in the cytoplasmic tail of the cation-independent mannose 6-phosphate receptor (CI-MPR) and this is important for lysosomal enzyme targeting. |
| 应用 | 推荐稀释比例 |
| {IHC-P} | {1:100-500} |
| {IHC-F} | {1:100-500} |
| {IF} | {1:100-500} |

Antigen retrieval: citrate buffer ( 0.01M, pH 6.0 ), Boiling bathing for 15min; Block endogenous peroxidase by 3% Hydrogen peroxide for 30min; Blocking buffer (normal goat serum,C-0005) at 37℃ for 20 min;
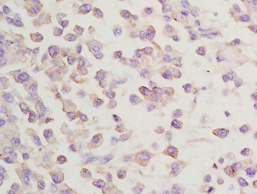
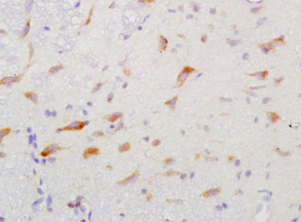
Incubation: Anti-GGA2 Polyclonal Antibody, Unconjugated(bs-13344R) 1:200, overnight at 4°C, followed by conjugation to the secondary antibody(SP-0023) and DAB(C-0010) staining

Antigen retrieval: citrate buffer ( 0.01M, pH 6.0 ), Boiling bathing for 15min; Block endogenous peroxidase by 3% Hydrogen peroxide for 30min; Blocking buffer (normal goat serum,C-0005) at 37℃ for 20 min;
Incubation: Anti-GGA2, Unconjugated(bs-13344R) 1:200, overnight at 4°C, followed by conjugation to the secondary antibody(SP-0023) and DAB(C-0010) staining

Antigen retrieval: citrate buffer ( 0.01M, pH 6.0 ), Boiling bathing for 15min; Block endogenous peroxidase by 3% Hydrogen peroxide for 30min; Blocking buffer (normal goat serum,C-0005) at 37℃ for 20 min;
Incubation: Anti-GGA2 Polyclonal Antibody, Unconjugated(bs-13344R) 1:200, overnight at 4°C, followed by conjugation to the secondary antibody(SP-0023) and DAB(C-0010) staining
风险提示:丁香通仅作为第三方平台,为商家信息发布提供平台空间。用户咨询产品时请注意保护个人信息及财产安全,合理判断,谨慎选购商品,商家和用户对交易行为负责。对于医疗器械类产品,请先查证核实企业经营资质和医疗器械产品注册证情况。
文献和实验Immunity:北大蒋争凡课题组发现 STING 后高尔基体囊泡转运的重要性及机制
: https://doi.org/10.1016/j.immuni.2023.02.004 参考文献: 1 Fang, R. et al. Recent advances in the activation and regulation of the cGAS-STING pathway. Advances in Immunology 156, 55-102, doi:10.1016 /bs.ai.2022.09.003 (2022). 2 Posor, Y. et al.
= NAL), appears to form upon oxidative cyclization of the nonfluorescent 2:1 lysine-HNE Michael adduct-Schiff base cross-link (Scheme 1). Polyclonal antibody (PAb) to the NAL-HNE fluorophore was raised in rabbit and found to be highly specific
GE Healthcare Benzamidine Sepharose™ 6B is p-aminobenzamidine covalently attached to Sepharose 6B by the epoxy coupling method. p-Aminobenzamidine (PAB), is a synthetic inhibitor of trypsin-like serine protease. Trypsin and trypsin
技术资料暂无技术资料 索取技术资料










