相关产品推荐更多 >
万千商家帮你免费找货
0 人在求购买到急需产品
- 详细信息
- 文献和实验
- 技术资料
- 形态:
液体
- 保存条件:
-20℃
- 克隆性:
多克隆
- 抗体英文名:
α-Smooth Muscle Actin Mouse Monoclonal Antibody
- 规格:
50μl/支
Actinis a globular multi-functional protein that forms microfilaments. ACTA2 codes for an α-actin located in the smooth muscle, and also in vascular smooth muscle.
Product Name:α-Smooth Muscle Actin Mouse Monoclonal Antibody(1E12)
Isotype: IgG1
Storage Buffer :PBS, pH 7.4, containing 0.02% sodium azideas Preservative and 50% Glycerol
Storage instructions:-20°C. Do not aliquot the antibody
Recommended dilutions: WB: 1:5,000-50,000 IHC: 1:1,000-2,000
Optimal dilutions should be determined by the end user.
Specificity: Theα-Smooth Muscle Actin antibody can detects endogenous α-Smooth Muscle Actin protein.
Alternative Names:AAT6 antibody, ACTA2 antibody, alpha actin 2 antibody, GIG46 antibody, ACTSA antibody, ACTVS antibody
Form: Liquid
Reactivity:H, R, M
Molecular Weight:42KD

Western blot analysis of 1) Hela, 2)3T3, 3)Rat Brain with α-Smooth Muscle Actin Mouse mAb BE3326 diluted at 1:100,000.

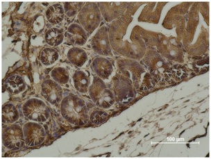
Immunohistochemical analysis of paraffin-embedded Mouse Cecal Tissue using a-Smooth Muscle Actin (BE3326)Mouse mAb diluted at 1:500.
风险提示:丁香通仅作为第三方平台,为商家信息发布提供平台空间。用户咨询产品时请注意保护个人信息及财产安全,合理判断,谨慎选购商品,商家和用户对交易行为负责。对于医疗器械类产品,请先查证核实企业经营资质和医疗器械产品注册证情况。
文献和实验by reaction with alkaline phosphatase-conjugated goat anti-mouse secondary antibody. Choose the actin pool broadly, however, consider also checking the column fractions by dot blot with mAB 3F2 to identify capping protein. Pool the actin fractions
Monoclonal Antibody Production
and screening of the hybridomas: 1. Bleeding Mice (1) Place the mouse in a mouse restrainer. (2) Sterilize the tail with 70% ethanol. (3) With a razor blade,nip off the last 2 mm of the tip of the tail. (4) Using a milking motion,pull blood down and let
Monoclonal Antibody Production Protocol
complete with MCM instead of PCM (= IMDM - m ), and keep it in the incubator for fused cells. Isolation of spleen cells Sacrifice mouse by cervical dislocation. Immerse mouse in 70% Ethanol. Remove spleen ( on the left side ) and transfer into a small
技术资料暂无技术资料 索取技术资料






