相关产品推荐更多 >
万千商家帮你免费找货
0 人在求购买到急需产品
- 详细信息
- 文献和实验
- 技术资料
- 形态:
液体
- 保存条件:
-20℃
- 克隆性:
多克隆
- 抗体英文名:
HSP90 α Rabbit Polyclonal Antibody
- 规格:
50μl/支
Hsp90 (heat shock protein 90)is a chaperone protein that assists other proteins to fold properly, stabilizes proteins against heat stress, and aids in protein degradation. In mammalian cells, there are two or more genes encoding cytosolic Hsp90 homologues, with the human Hsp90α showing 85% sequence identity to Hsp90β.
Product Name:HSP90 αRabbit Polyclonal Antibody(F164)
Isotype: IgG
Storage Buffer :PBS, pH 7.4, containing 0.02% sodium azideas Preservative and 50% Glycerol
Storage instructions:-20°C. Do not aliquot the antibody
Recommended dilutions: WB: 1: 1,000-2,000
Optimal dilutions should be determined by the end user.
Specificity: Antibody can detects endogenous HSP90 α protein.
Alternative Names:Heat shock protein 90kDa alpha, HSP 90A, HSPC1, HSPCA, HSPN, LAP2, HSP86, HSP89
Form: Liquid
Reactivity:H, R, M
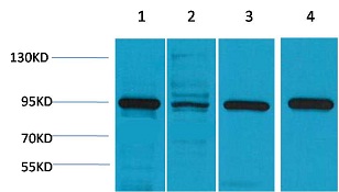
Molecular Weight: 95KD

Western blot analysis of 1) Hela, 2)3T3, 3)Mouse Brain, 4) Rat Brain, with HSP90 a Rabbit pAb BE3316 diluted at 1:2,000.
风险提示:丁香通仅作为第三方平台,为商家信息发布提供平台空间。用户咨询产品时请注意保护个人信息及财产安全,合理判断,谨慎选购商品,商家和用户对交易行为负责。对于医疗器械类产品,请先查证核实企业经营资质和医疗器械产品注册证情况。
文献和实验Polyclonal Antibody Production
Zealand White Rabbits and have them delivered to the ARC. Don’t put all your eggs in one basket only using one rabbit. Let them get accustomed to there home there for two weeks before the first pre-bleed. Pre-bleed
Polyclonal Antibody Production
Polyclonal Antibody Production Very useful for rapid and simple generation of antibodies for western blots, ELISA assays, and immunoprecipitation. Rabbit Immunization Initial Preparation Your antigen
Immunofluorescence: Rabbit Anti-Murine RELMα
for 25 minutes. 3. Incubate the tissue section with blocking buffer for 20 minutes. 4. Incubate the tissue section overnight at 4?C with Rabbit Anti-Murine RELMα at 4.0 ng/mL in 1X PBS with 0.01% Triton-X and 0.5% BSA. Wash the slide
技术资料暂无技术资料 索取技术资料






