相关产品推荐更多 >
万千商家帮你免费找货
0 人在求购买到急需产品
- 详细信息
- 文献和实验
- 技术资料
- 形态:
液体
- 保存条件:
-20℃
- 克隆性:
多克隆
- 抗体英文名:
Cleaved PARP Mouse Monoclonal Antibody
- 规格:
支
Poly [ADP-ribose] polymerase 1 (PARP-1) also known as NAD+ ADP-ribosyltransferase 1 or poly[ADP-ribose] synthase 1 is an enzyme that in humans is encoded by the PARP1 gene. PARP1 has a role in repair of single-stranded DNA (ssDNA) breaks. Knocking down intracellular PARP1 levels with siRNA or inhibiting PARP1 activity with small molecules reduces repair of ssDNA breaks. In the absence of PARP1, when these breaks are encountered during DNA replication, the replication fork stalls, and double-strand DNA (dsDNA) breaks accumulate.
Product Name:Cleaved PARP Mouse Monoclonal Antibody
Clone Number: M4
Isotype: IgG1
Storage Buffer :PBS, pH 7.4, containing 0.02% sodium azide as Preservative and 50% Glycerol
Storage instructions:-20°C. Do not aliquot the antibody
Recommended dilutions: WB: 1:1,000-3,000
Optimal dilutions should be determined by the end user.
Specificity: Antibody can detects endogenous pro and active PARP protein.
Alternative Names:PARP-1, Poly(ADP ribose) polymerase 1, sPARP1,ADPRT1, ADP ribosyltransferase NAD(+)
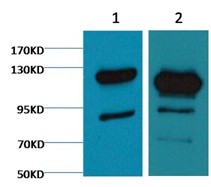
Molecular Weight:116KD(Pro) 89KD(Active)
Form: Liquid
Reactivity:H

Western blot analysis of 1) Jurkat ,2) Hela, with BE3173 diluted at 1:2,000
风险提示:丁香通仅作为第三方平台,为商家信息发布提供平台空间。用户咨询产品时请注意保护个人信息及财产安全,合理判断,谨慎选购商品,商家和用户对交易行为负责。对于医疗器械类产品,请先查证核实企业经营资质和医疗器械产品注册证情况。
文献和实验Monoclonal Antibody Production
and screening of the hybridomas: 1. Bleeding Mice (1) Place the mouse in a mouse restrainer. (2) Sterilize the tail with 70% ethanol. (3) With a razor blade,nip off the last 2 mm of the tip of the tail. (4) Using a milking motion,pull blood down and let
Neoepitope Antibodies Against MMP-Cleaved and Aggrecanase-Cleaved Aggrecan
as examples: the monoclonal anti-FFGVG antibody (AF-28) and the polyclonal anti-DIPEN antisera.
Monoclonal Antibody Production Protocol
complete with MCM instead of PCM (= IMDM - m ), and keep it in the incubator for fused cells. Isolation of spleen cells Sacrifice mouse by cervical dislocation. Immerse mouse in 70% Ethanol. Remove spleen ( on the left side ) and transfer into a small
技术资料暂无技术资料 索取技术资料






