相关产品推荐更多 >
万千商家帮你免费找货
0 人在求购买到急需产品
- 详细信息
- 文献和实验
- 技术资料
- 形态:
液体
- 保存条件:
-20℃
- 克隆性:
多克隆
- 抗体英文名:
Histone H3(Acetyl Lys36) Rabbit Polyclonal Antibody
- 规格:
支
Histone H3 is one of the five main histone proteins involved in the structure of chromatin in eukaryotic cells. Core component of nucleosome. Nucleosomes wrap and compact DNA into chromatin, limiting DNA accessibility to the cellular machineries which require DNA as a template. Histones thereby play a central role in transcription regulation, DNA repair, DNA replication and chromosomal stability.
Product Name:Histone H3(Acetyl Lys36) Rabbit Polyclonal Antibody
Isotype: IgG
Storage Buffer :Purified Rabbit IgG, 1mg/ml in PBS pH7.4, containing 0.02% sodium azide as Preservative and 50% Glycerol
Storage instructions:-20°C. Do not aliquot the antibody
Recommended dilutions: WB: 1: 2,00-5,00
Optimal dilutions should be determined by the end user.
Specificity: The Histone H3(Acetyl Lys36) Rabbit Polyclonal Antibody can detects endogenous Histone H3 (Acetyl Lys36) protein.
Alternative Names:H3 histone antibody, HIST1H3A antibody, Histone cluster 1, H3a antibody
Molecular Weight:15-17KD
Form: Liquid
Reactivity:H, R, M

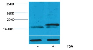
Western blot analysis of extracts from Hela cells, untreated (-) or treated with TSA (1μM, 18 hr; +), using Acetyl-Histone H3 (Lys36) Rabbit pAb (upper) BE3247 1:2000 and Histone H3 (2G2) Mouse mAb (lower) 1:2000.
风险提示:丁香通仅作为第三方平台,为商家信息发布提供平台空间。用户咨询产品时请注意保护个人信息及财产安全,合理判断,谨慎选购商品,商家和用户对交易行为负责。对于医疗器械类产品,请先查证核实企业经营资质和医疗器械产品注册证情况。
文献和实验Polyclonal Antibody Production
Zealand White Rabbits and have them delivered to the ARC. Don’t put all your eggs in one basket only using one rabbit. Let them get accustomed to there home there for two weeks before the first pre-bleed. Pre-bleed
Polyclonal Antibody Production
Polyclonal Antibody Production Very useful for rapid and simple generation of antibodies for western blots, ELISA assays, and immunoprecipitation. Rabbit Immunization Initial Preparation Your antigen
Detection of Histone H3 Phosphorylation in Cultured Cells and Tissue Sections by Immunostaining
. The protocol described here allows the detection of phosphorylated histones in tissue-cultured cells and tissue sections by fluorescent or bright-field immunostaining analysis. Here we used a serine 10 specific P-histone H3 antibody to determine
技术资料暂无技术资料 索取技术资料






