相关产品推荐更多 >
万千商家帮你免费找货
0 人在求购买到急需产品
- 详细信息
- 文献和实验
- 技术资料
- 形态:
液体
- 保存条件:
-20℃
- 克隆性:
多克隆
- 抗体英文名:
XRCC4 Mouse Monoclonal Antibody
- 规格:
100μl/支
The protein encoded by this gene functions together with DNA ligase IV and the DNA-dependent protein kinase in the repair of DNA double-strand break by non-homologous end joining and the completion of V(D)J recombination events.
Product Name:XRCC4 Mouse Monoclonal Antibody
Clone Number: 6C9
Isotype: IgG1
Storage Buffer :PBS, pH 7.4, containing 0.02% sodium azideas Preservative and 50% Glycerol
Storage instructions:-20°C. Do not aliquot the antibody
Recommended dilutions: WB: 1:2,000 IP: 1:200
Optimal dilutions should be determined by the end user.
Specificity: XRCC4 Mouse Monoclonal antibody detects endogenous XRCC4 proteins.
Molecular Weight:38KD
Form: Liquid
Reactivity:H

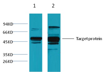
Western blot analysis of 1) Hela, 2) 293T, with XRCC4 Mouse mAb diluted at 1:3,000.

1、Input: Hela Cell Lysate
2、IP product: IP dilute 1:200
Western blot analysis: primary antibody : BE31591:2,000
Secondary antibody: Goat anti-Mouse IgG, Light chain specific(BE0105), 1:5,000
风险提示:丁香通仅作为第三方平台,为商家信息发布提供平台空间。用户咨询产品时请注意保护个人信息及财产安全,合理判断,谨慎选购商品,商家和用户对交易行为负责。对于医疗器械类产品,请先查证核实企业经营资质和医疗器械产品注册证情况。
文献和实验Monoclonal Antibody Production
and screening of the hybridomas: 1. Bleeding Mice (1) Place the mouse in a mouse restrainer. (2) Sterilize the tail with 70% ethanol. (3) With a razor blade,nip off the last 2 mm of the tip of the tail. (4) Using a milking motion,pull blood down and let
指仅对一种抗原决定基的纯粹的抗体。这类抗体不可能通过将抗原 胞的 Hybridoma,在试管内制成了纯粹的单克隆抗体。用某种抗原使动物产生免疫感应,对应于抗原之不同部分可制成各种不同的抗体复合体。然而,因为一个产生抗体的细胞,只能产生一种抗体,所以骨髓肿瘤细胞与产生抗体细胞间的细胞杂种,可形成边产生抗体边增殖的 hybridoma,将每个杂种细胞进行克隆(无性繁殖系)培养,则一个克隆的细胞群只由单种类产生同一抗体的细胞所组成,这样得到的就是单克隆抗体。此抗体在测定
Monoclonal Antibody Production Protocol
complete with MCM instead of PCM (= IMDM - m ), and keep it in the incubator for fused cells. Isolation of spleen cells Sacrifice mouse by cervical dislocation. Immerse mouse in 70% Ethanol. Remove spleen ( on the left side ) and transfer into a small
技术资料暂无技术资料 索取技术资料







