相关产品推荐更多 >
万千商家帮你免费找货
0 人在求购买到急需产品
- 详细信息
- 询价记录
- 文献和实验
- 技术资料
- 形态:
液体
- 保存条件:
-20℃
- 克隆性:
多克隆
- 抗体英文名:
Flag-Tag Mouse Monoclonal Antibody
- 规格:
10μl/支
The DYKDDDDK peptide is a small component of an epitope which does not appear to interfere with the bioactivity or the biodistribution of the recombinant protein. It has been used extensively as a general epitope tag in expression vectors. As a member of Tag antibodies, Flag tag antibody is the best quality antibody against DYKDDDDK in the research. As a high-affinity antibody, Flag tag antibody can recognize C-terminal, internal, and N-terminal Flag-tagged proteins.
Product Name:Flag-tag mouse monoclonal antibody
Clone Number: 3C6
Isotype: IgG1
Immunogen: A synthetic peptide DYKDDDDK coupled to KLH.
Tested applications and dilutions: WB 1:2000-5000 IP 1:200 IF 1:1000
Produce anti-FLAG antibody affinity column purify FLAG recombinant proteins
Form: Liquid
Concentration: 1mg/ml in PBS, pH 7.4, containing 0.02% sodium azide and 50% glycerol
Storage: Flagantibody is stable for 1 month at 2-8°C. For long term storage, Aliquot and store at -20°C or below. Avoid repeated freezing and thawing cycles.

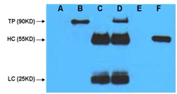
A: HEK 293 cell lysate without transfected
B: HEK 293 cell lysate transfected with FLAG-tag protein
C: IP (PBS + anti- FLAG mAb 4℃overnight)
D: IP (HEK293 transfected+protein G+anti- FLAG mAb 4℃overnight)
E: IP (HEK293 transfected+RIPA+Protein G 4℃overnight)
F: Multi Tag Recombinant protein (expressed in E.coli)
TP=Target Protein HC=Heavy chain LC=Light Chain

IF analysis of 293T cells transfected with a FLAG-tagged protein, using EASYBIO FLAG-Tag (3C6) Mouse mAb at a 1:2000 dilution (blue DAPI, red anti-FLAG)
风险提示:丁香通仅作为第三方平台,为商家信息发布提供平台空间。用户咨询产品时请注意保护个人信息及财产安全,合理判断,谨慎选购商品,商家和用户对交易行为负责。对于医疗器械类产品,请先查证核实企业经营资质和医疗器械产品注册证情况。
- 作者
- 内容
- 询问日期
文献和实验Monoclonal Antibody Production
and screening of the hybridomas: 1. Bleeding Mice (1) Place the mouse in a mouse restrainer. (2) Sterilize the tail with 70% ethanol. (3) With a razor blade,nip off the last 2 mm of the tip of the tail. (4) Using a milking motion,pull blood down and let
指仅对一种抗原决定基的纯粹的抗体。这类抗体不可能通过将抗原 胞的 Hybridoma,在试管内制成了纯粹的单克隆抗体。用某种抗原使动物产生免疫感应,对应于抗原之不同部分可制成各种不同的抗体复合体。然而,因为一个产生抗体的细胞,只能产生一种抗体,所以骨髓肿瘤细胞与产生抗体细胞间的细胞杂种,可形成边产生抗体边增殖的 hybridoma,将每个杂种细胞进行克隆(无性繁殖系)培养,则一个克隆的细胞群只由单种类产生同一抗体的细胞所组成,这样得到的就是单克隆抗体。此抗体在测定
Monoclonal Antibody Production Protocol
complete with MCM instead of PCM (= IMDM - m ), and keep it in the incubator for fused cells. Isolation of spleen cells Sacrifice mouse by cervical dislocation. Immerse mouse in 70% Ethanol. Remove spleen ( on the left side ) and transfer into a small
技术资料暂无技术资料 索取技术资料






