相关产品推荐更多 >
万千商家帮你免费找货
0 人在求购买到急需产品
- 详细信息
- 文献和实验
- 技术资料
- 形态:
液体
- 保存条件:
-20℃
- 克隆性:
多克隆
- 抗体英文名:
His-Tag Mouse Monoclonal Antibody
- 规格:
支
Monoclonal antibodies specific to six histidine tags can greatly improve the effectiveness of several different kinds of immunoassays, helping researchers identify, detect, and purify polyhistidine fusion proteins in bacteria, insect cells, and mammalian cells. His-tag mouse mAb recognizes His-tag placed at N-terminal, C-terminal, and internal regions of fusion proteins.
Product Name:His-tag mouse monoclonal antibody
Clone Number: 6E8
Isotype: IgG1
Immunogen: A synthetic peptide HHHHHH coupled to KLH.
Tested applications and dilutions: WB1:5000-2000 IP1:200IF 1:1000
Produce anti-HIS antibody affinity column purify HIS recombinant proteins
Form:Liquid
Concentration: 1mg/ml in PBS, pH 7.4, containing 0.02% sodium azide and 50% glycerol
Storage: Hisantibody is stable for 1 month at 2-8°C. For long term storage, Aliquot and store at -20°C or below. Avoid repeated freezing and thawing cycles.

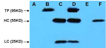
A: HEK 293 cell lysate without transfected
B: HEK 293 cell lysate transfected with his-tag protein
C: IP (PBS + anti-HIS mAb 4℃overnight)
D: IP (HEK293 transfected+protein G+anti-HIS mAb 4℃overnight))
E: IP (HEK293 transfected+RIPA+Protein G 4℃overnight)
F: Multi Tag Recombinant protein (expressed in E.coli)
TP=Target Protein HC=Heavy chain LC=Light Chain

IFanalysis of 293T cells transfected with a HIS-tagged protein, using EASYbioHIS-Tag (6E8) Mouse mAb at a 1:2000 dilution (blue DAPI, red anti-HIS)
风险提示:丁香通仅作为第三方平台,为商家信息发布提供平台空间。用户咨询产品时请注意保护个人信息及财产安全,合理判断,谨慎选购商品,商家和用户对交易行为负责。对于医疗器械类产品,请先查证核实企业经营资质和医疗器械产品注册证情况。
文献和实验Monoclonal Antibody Production
and screening of the hybridomas: 1. Bleeding Mice (1) Place the mouse in a mouse restrainer. (2) Sterilize the tail with 70% ethanol. (3) With a razor blade,nip off the last 2 mm of the tip of the tail. (4) Using a milking motion,pull blood down and let
指仅对一种抗原决定基的纯粹的抗体。这类抗体不可能通过将抗原 胞的 Hybridoma,在试管内制成了纯粹的单克隆抗体。用某种抗原使动物产生免疫感应,对应于抗原之不同部分可制成各种不同的抗体复合体。然而,因为一个产生抗体的细胞,只能产生一种抗体,所以骨髓肿瘤细胞与产生抗体细胞间的细胞杂种,可形成边产生抗体边增殖的 hybridoma,将每个杂种细胞进行克隆(无性繁殖系)培养,则一个克隆的细胞群只由单种类产生同一抗体的细胞所组成,这样得到的就是单克隆抗体。此抗体在测定
Monoclonal Antibody Production Protocol
complete with MCM instead of PCM (= IMDM - m ), and keep it in the incubator for fused cells. Isolation of spleen cells Sacrifice mouse by cervical dislocation. Immerse mouse in 70% Ethanol. Remove spleen ( on the left side ) and transfer into a small
技术资料暂无技术资料 索取技术资料






