相关产品推荐更多 >
万千商家帮你免费找货
0 人在求购买到急需产品
- 详细信息
- 文献和实验
- 技术资料
- 免疫原:
Native SP-A purified from bronchioaveolar lavage from proteinosis patients
- 亚型:
IgG1
- 形态:
Liquid
- 保存条件:
Store as concentrated solution. Centrifuge briefly prior to opening vial. Store at 4ºC.
- 克隆性:
Monoclonal
- 标记物:
Unconjugated
- 适应物种:
Human
- 保质期:
12 months from the shipping date of the product.
- 抗原来源:
Human
- 目录编号:
GTX60977
- 级别:
Primary Antibodies
- 库存:
Available
- 供应商:
GeneTex
- 宿主:
Mouse
- 应用范围:
WB, IHC-P, ELISA
- 浓度:
Batch dependent (Please refer to the vial label for the specific concentration.)
- 靶点:
This antibody is specific for human pulmonary Surfactant protein A (SP-A).
- 抗体英文名:
Surfactant Protein A antibody [6F10]
- 抗体名:
Surfactant Protein A 抗体 [6F10]
- 规格:
100 μl
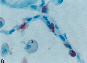
Paraffin-embedded sections of human lung immunostained with GTX60977
Paraffin-embedded sections of human lung immunostained with GTX60977
风险提示:丁香通仅作为第三方平台,为商家信息发布提供平台空间。用户咨询产品时请注意保护个人信息及财产安全,合理判断,谨慎选购商品,商家和用户对交易行为负责。对于医疗器械类产品,请先查证核实企业经营资质和医疗器械产品注册证情况。
文献和实验Strep/FLAG Tandem Affinity Purification (SF‐TAP) to Study Protein Interactions
, several methods have been developed to analyze protein?protein interactions under native conditions. One of them, tandem affinity purification (TAP), combines two affinity?purification steps to allow isolation of high?purity protein complexes. This unit presents
PriCells: Introduction of Isolation and Culture of Human Alveolar Epithelial Cells
human lungs. It is well known that ATII cells synthesize, secrete, and recycle some components of the surfactant that regulates alveolar surface tension in the distal airspaces of mammalian lungs. ATII cells govern extracellular surfactant transformation
【共享】Present and future applications of gold in rapid assays
no reagents other than the protein, diluent buffers, and particles. With defined raw materials, IVD manufacturers can calculate the exact amount of antibody required per particle of gold to give optimal assay performance, which results in cost savings
技术资料暂无技术资料 索取技术资料






![IL2 antibody [S4B6]](https://img1.dxycdn.com/2022/0328/207/9509889598127300453-14.jpg!wh200)

![CYP3A4 antibody [3H8]](https://img1.dxycdn.com/2022/0328/105/4969750689123500453-14.jpg!wh200)


