相关产品推荐更多 >
万千商家帮你免费找货
0 人在求购买到急需产品
- 详细信息
- 文献和实验
- 技术资料
- 免疫原:
Purified recombinant fragment of human CYP3A4 expressed in E. Coli.
- 亚型:
IgG1
- 形态:
Liquid
- 保存条件:
Store as concentrated solution. Centrifuge briefly prior to opening vial. For short-term storage (1-2 weeks), store at 4ºC. For long-term storage, aliquot and store at -20ºC or below. Avoid multiple freeze-thaw cycles.
- 克隆性:
Monoclonal
- 标记物:
Unconjugated
- 适应物种:
Human
- 保质期:
12 months from the shipping date of the product.
- 抗原来源:
Human
- 目录编号:
GTX60577
- 级别:
Primary Antibodies
- 库存:
Available
- 供应商:
GeneTex
- 宿主:
Mouse
- 应用范围:
WB, ICC/IF, IHC-P, IHC-Fr, FACS, ELISA
- 浓度:
1 mg/ml (Please refer to the vial label for the specific concentration.)
- 靶点:
CYP3A4
- 抗体英文名:
CYP3A4 antibody [3H8]
- 抗体名:
CYP3A4 抗体 [3H8]
- 规格:
100 μg
WB analysis of HEK293 (1) and CYP3A4 (AA: 243-430)-hIgGFc transfected HEK293 (2) cell lysate using GTX60577 CYP3A4 antibody [3H8].
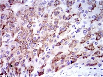
IHC-P analysis of liver cancer tissue using GTX60577 CYP3A4 antibody [3H8].
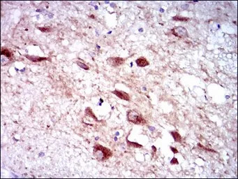
IHC-P analysis of human brain tissue using GTX60577 CYP3A4 antibody [3H8].
ICC/IF analysis of HepG2 cells using GTX60577 CYP3A4 antibody [3H8].
Green : CYP3A4
Blue: DRAQ5 fluorescent DNA dye
Red: Actin filaments
ELISA analysis of antigen using GTX60577 CYP3A4 antibody [3H8].
Black : Control antigen 100ng
Purple : Antigen 10ng
Blue : Antigen 50ng
Red : Antigen 100ng
WB analysis of human CYP3A4 (AA: 243-430) recombinant protein using GTX60577 CYP3A4 antibody [3H8].
FACS analysis of HepG2 cells using GTX60577 CYP3A4 antibody [3H8].
Green : CYP3A4
Red : negative control
风险提示:丁香通仅作为第三方平台,为商家信息发布提供平台空间。用户咨询产品时请注意保护个人信息及财产安全,合理判断,谨慎选购商品,商家和用户对交易行为负责。对于医疗器械类产品,请先查证核实企业经营资质和医疗器械产品注册证情况。
文献和实验David A. Kukla et al., bioRxiv 2020 (Epub)
Tonon F et al., Sci Rep 2019 (PMID:31537830)
Sassi L. et al., Nanomaterials (Basel) 2021 (PMID:33494337)
David A. Kukla et al., RSC Advances 2020 (62)
Liu J et al., Stem Cell Res 2020 (PMID:33011360)
Thin-Layer Chromatographic Analysis of Human CYP3A-Catalyzed Testosterone 6-Hydroxylation
oxidase (11 , 13 ) and testosterone 6β-hydroxylase (14 , 15 ), as useful catalytic monitors for hepatic CYP3A In a recent study, an inhibitory antipeptide antibody against CYP3A4, which did not cross-react with cDNA-expressed CYP3A5 as judged
表达 体内基因表达模式方面的研究。在药物研发领域,科学家通过可发光转基因动物(例如:大鼠或小鼠基因组中整合了修饰的内源基因和BL报告基因)作为人类疾病的模式动物进行目标确认的研究。[35] 例如:目前已经建立了一个转基因小鼠模型,可以监测编码人细胞色素P450 3A4(CYP3A4)基因的体内转录调控,人细胞色素P450 3A4在药物代谢方面起着重要作用。[36] 传染性疾病 疾病的进程和治疗剂的功效可以通过对小鼠注射BL标记进行评估。例如注射经过修饰的病原微生物,然后对透过动物组织的光进行成像
=5348041&sty=1&tpg=34&age=0 [求助]蛋白沉淀中的疑惑?? http://www.dxy.cn/bbs/post/view?bid=65&id=5347674&sty=1&tpg=34&age=0 [求助]到哪儿可以买到abnova的抗体?谢谢 http://www.dxy.cn/bbs/post/view?bid=65&id=5345031&sty=1&tpg=34&age=0 [求助]CYP3A4、CYP2B6在大肠杆菌中表达 http://www.dxy
技术资料暂无技术资料 索取技术资料











