相关产品推荐更多 >
万千商家帮你免费找货
0 人在求购买到急需产品
- 详细信息
- 文献和实验
- 技术资料
- 免疫原:
Synthetic human PYY
- 亚型:
IgG1
- 形态:
Liquid
- 保存条件:
Store as concentrated solution. Centrifuge briefly prior to opening vial. Store at 4ºC.
- 克隆性:
Monoclonal
- 标记物:
Unconjugated
- 适应物种:
Human
- 保质期:
12 months from the shipping date of the product.
- 抗原来源:
Human
- 目录编号:
GTX60975
- 级别:
Primary Antibodies
- 库存:
Available
- 供应商:
GeneTex
- 宿主:
Mouse
- 应用范围:
IHC-P, ELISA
- 浓度:
Batch dependent (Please refer to the vial label for the specific concentration.)
- 靶点:
This antibody binds human PYY. Cross-reactivity with NPY or PP in solution is <0.1%.
- 抗体英文名:
Peptide YY antibody [1]
- 抗体名:
Peptide YY 抗体 [1]
- 规格:
100 μl
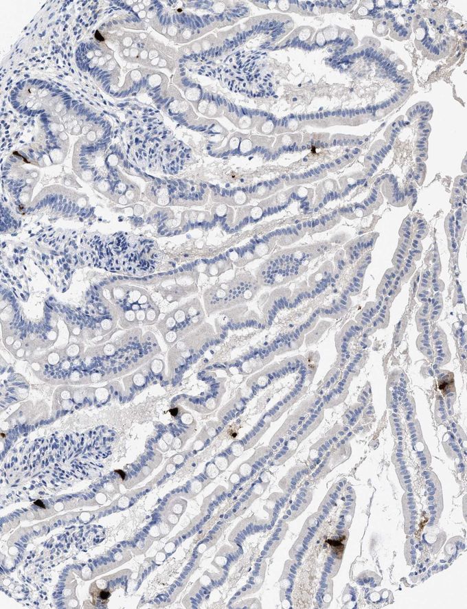
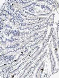
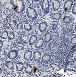
Paraffin-embedded human small intestine tissue immunostained with GTX60975
Paraffin-embedded human small intestine tissue immunostained with GTX60975
风险提示:丁香通仅作为第三方平台,为商家信息发布提供平台空间。用户咨询产品时请注意保护个人信息及财产安全,合理判断,谨慎选购商品,商家和用户对交易行为负责。对于医疗器械类产品,请先查证核实企业经营资质和医疗器械产品注册证情况。
文献和实验Peptide YY Mediates Inhibition of Tumor Growth and Inflammation
Peptide YY (PYY) orchestrates the functions of the gut and the pancreas by regulating growth, digestion and absorption. In addition to its physiological role, PYY exhibits immune and antitrophic properties in the pancreas by decreasing
Purification Of Anti Peptide Antibody
antibody that could contribute to staining background. The proportion in each pool varies with the peptide immunogen. The quality of the anti-peptide serum seems to increase with multiple boosts - the first bleed may be feeble.
Peptide Microarrays for Serum Antibody Diagnostics
antibody. A proposal for the diagnostic evaluation of fluorescence data obtained with the peptide microarray is also made.
技术资料暂无技术资料 索取技术资料





![GST tag antibody [BDI340]](https://img1.dxycdn.com/2022/0328/630/6380211068738300453-14.jpg!wh200)

![NR0B2 antibody [N2C3]](https://img1.dxycdn.com/2022/0328/000/9373931951510300453-14.jpg!wh200)
![Pro-MBP / htPAPP-A antibody [11E4]](https://img1.dxycdn.com/2022/0329/015/0805342481334020453-14.jpg!wh200)


