相关产品推荐更多 >
万千商家帮你免费找货
0 人在求购买到急需产品
- 详细信息
- 文献和实验
- 技术资料
- 免疫原:
Synthetic human/rat neuropeptide Y
- 亚型:
IgG1
- 形态:
Liquid
- 保存条件:
Store as concentrated solution. Centrifuge briefly prior to opening vial. Store at 4ºC.
- 克隆性:
Monoclonal
- 标记物:
Unconjugated
- 适应物种:
Human, Mouse, Rat
- 保质期:
12 months from the shipping date of the product.
- 抗原来源:
Human
- 目录编号:
GTX60971
- 级别:
Primary Antibodies
- 库存:
Available
- 供应商:
GeneTex
- 宿主:
Mouse
- 应用范围:
ICC/IF, IHC-P, IHC-Fr, ELISA
- 浓度:
Batch dependent (Please refer to the vial label for the specific concentration.)
- 靶点:
This antibody binds full length human/rat Neuropeptide Y (NPY). Cross-reactivity with NPY (1-24) , NPY (18-36), PYY or PP was <0.2%.
- 抗体英文名:
Neuropeptide Y antibody [8]
- 抗体名:
Neuropeptide Y 抗体 [8]
- 规格:
100 μl
GTX60971 tested on tissue from human cerebral cortex, applying ultra thin sections using a technique called array tomography. (antibody: green, DAPI-stained nuclei: blue). The antibody labels NPY-positive processes in the neutrophil. Courtesy of Dr. Nancy O'Rourke, Stanford University.
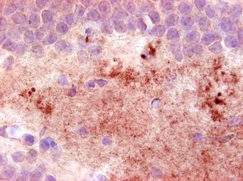
Paraffin embedded mouse brain tissue (fibres in the hilus of the hippocampus) from a mouse suffering an epiletic attack just before perfusion stained with GTX60971 diluted 1/1000
Enlarged section of a paraffin embedded mouse brain tissue (fibres in the hilus of the hippocampus) from a mouse suffering an epileptic attack just before perfusion stained with GTX60971 diluted 1/1000
GTX60971 tested on tissue from human cerebral cortex, applying ultra thin sections using a technique called array tomography. (antibody: green, DAPI-stained nuclei: blue). The antibody labels NPY-positive processes in the neutrophil. Courtesy of Dr. Nancy O'Rourke, Stanford University.
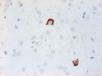
Paraffin embedded mouse brain tissue (interneurons in the cortex) stained with GTX60971 diluted 1/1000
风险提示:丁香通仅作为第三方平台,为商家信息发布提供平台空间。用户咨询产品时请注意保护个人信息及财产安全,合理判断,谨慎选购商品,商家和用户对交易行为负责。对于医疗器械类产品,请先查证核实企业经营资质和医疗器械产品注册证情况。
文献和实验Nakanishi S et al., J Vet Med Sci 2023 (PMID:36517005)
Dongxiao Zhang et al., Front Endocrinol (Lausanne) 2021 (PMID:34526970)
Characterization of Neuropeptide Y (NPY) Receptors
Abstract Table of Contents Materials Figures Literature Cited Abstract Neuropeptide Y (NPY
Antibody Microprobes for Detecting Neuropeptide Release
Antibody-coated microprobes have been demonstrated to be useful for detecting the release of neuropeptide transmitters from discrete sites in the central nervous system (CNS). This technique uses glass micropipettes taken
Human Type 2 Neuropeptide Y Receptor Gene: Isolation and Characterization
two and seven (1 ). One of the sequences identified encoded the partial sequence of a novel protein most closely related to the type 1 neuropeptide Y (NPY) receptor, the only member of the NPY receptor family characterized by molecular cloning at that time
技术资料暂无技术资料 索取技术资料








![CD42a antibody [GRP-P] (FITC)](https://img1.dxycdn.com/2022/0328/611/1216782336654500453-14.jpg!wh200)
![S100 antibody [SH-B1] (ready-to-use)](https://img1.dxycdn.com/2022/0328/240/7790971059734500453-14.jpg!wh200)

