相关产品推荐更多 >
万千商家帮你免费找货
0 人在求购买到急需产品
- 详细信息
- 文献和实验
- 技术资料
- 免疫原:
Recombinant fusion protein containing a sequence corresponding to amino acids 1-234 of human TK1 (NP_003249.3).
- 亚型:
IgG
- 形态:
Liquid
- 保存条件:
Store as concentrated solution. Centrifuge briefly prior to opening vial. For short-term storage (1-2 weeks), store at 4ºC. For long-term storage, aliquot and store at -20ºC or below. Avoid multiple freeze-thaw cycles.
- 克隆性:
Polyclonal
- 标记物:
Unconjugated
- 适应物种:
Human, Mouse, Rat
- 保质期:
12 months from the shipping date of the product.
- 抗原来源:
Human
- 目录编号:
GTX33544
- 级别:
Primary Antibodies
- 库存:
Available
- 供应商:
GeneTex
- 宿主:
Rabbit
- 应用范围:
WB, IHC-P
- 浓度:
Batch dependent (Please refer to the vial label for the specific concentration.)
- 靶点:
Thymidine Kinase 1
- 抗体英文名:
Thymidine Kinase 1 antibody
- 抗体名:
Thymidine Kinase 1 抗体
- 规格:
100 μl
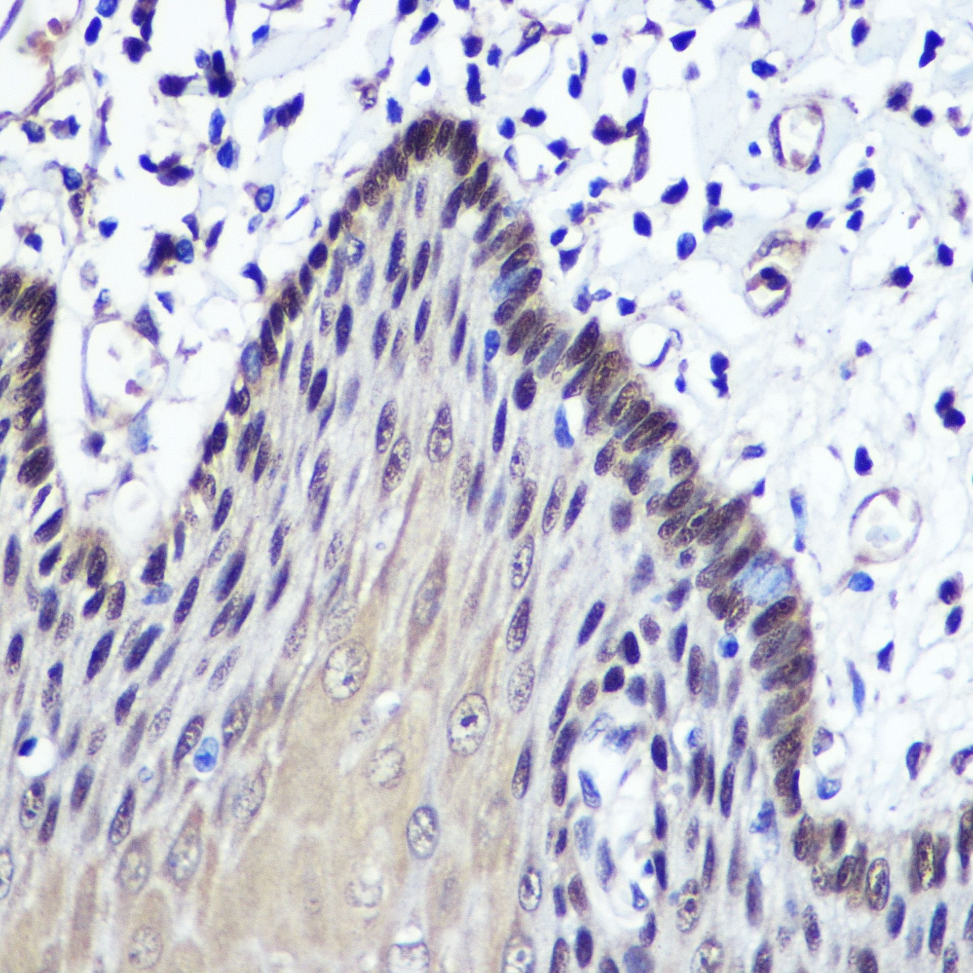
IHC-P analysis of human esophageal tissue using GTX33544 Thymidine Kinase 1 antibody.
Dilution : 1:100
IHC-P analysis of rat liver tissue using GTX33544 Thymidine Kinase 1 antibody.
Dilution : 1:100
WB analysis of various sample lysates using GTX33544 Thymidine Kinase 1 antibody.
Dilution : 1:1000
Loading : 25μg per lane
风险提示:丁香通仅作为第三方平台,为商家信息发布提供平台空间。用户咨询产品时请注意保护个人信息及财产安全,合理判断,谨慎选购商品,商家和用户对交易行为负责。对于医疗器械类产品,请先查证核实企业经营资质和医疗器械产品注册证情况。
文献和实验Construction of Recombinant Vaccinia Virus: Cloning into the Thymidine Kinase Locus
Vaccinia virus (VV) has proven to be a very useful tool for the expression and analysis of foreign gene products. The most common method used to produce recombinant viruses involves the insertion of foreign genes into the thymidine kinase (TK
胸[腺嘧啶脱氧核 ]苷激酶 thymidine kinase 亦称脱氧胸腺嘧啶核苷激酶。核苷激酶之一。胸腺嘧啶脱氧核苷是催化 ATP被磷酸化而形成胸腺嘧啶脱氧核苷酸反应的酶。 EC2. 7. 1. 75。属于 DNA分解形成胸腺嘧啶脱氧核苷的补救途径,在活跃增殖的细胞中其活性很强。广泛存在于细菌、病毒感染的细胞、再生肝、胸腺、培养细胞和肿瘤细胞中。在线粒体中也单独存在这种酶。
Gene therapy is defined as the alteration of the genetic material of a cell with resultant benefit to a patient. Gene transfer has two broad categories: one in which a therapeutic gene is delivered to the cells with the aim of treating a disease
技术资料暂无技术资料 索取技术资料





![Cytokeratin 14 antibody [101]](https://img1.dxycdn.com/2022/0328/357/4937389383497700453-14.png!wh200)
![Influenza B virus Neuraminidase (NA) antibody [HL1476]](https://img1.dxycdn.com/2022/0815/195/4424437707010295653-14.jpg!wh200)

![Histone H3K18ac (Acetyl Lys18) antibody [RM166]](https://img1.dxycdn.com/2022/0328/069/3948518867353500453-14.jpg!wh200)


