相关产品推荐更多 >
万千商家帮你免费找货
0 人在求购买到急需产品
- 详细信息
- 文献和实验
- 技术资料
- 免疫原:
Synthetic Peptide
- 形态:
liquid
- 保存条件:
Store at -20˚C
- 克隆性:
Monoclonal
- 适应物种:
Human
- 保质期:
12 months
- 抗原来源:
Mouse
- 供应商:
南京赛戈巍生物科技有限公司
- 宿主:
Mouse
- 应用范围:
IHC
- 靶点:
Uniprot:Q8NB16
- 抗体英文名:
phospho-MLKL (S358) Mouse Monoclonal Antibody(6F8)
- 规格:
50ul/100ul
计算分子量:54kd
配方:Liquid in PBS containing 50% glycerol, 0.5% BSA and 0.02% sodium azide.
应用详情:
Immunohistochemistry: 1:100-1:200
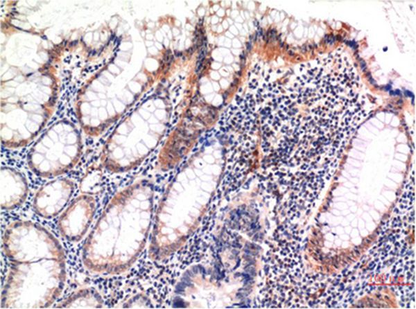
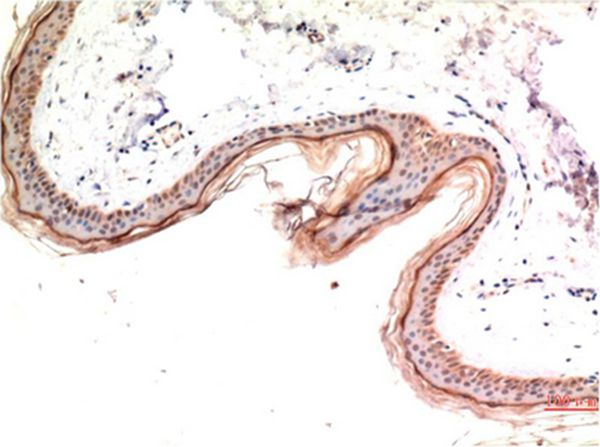
图片:

Immunohistochemical analysis of paraffin-embedded Human Colon Carcinoma Tissue using Phospho-MLKL S358 Mouse mAb diluted at 1:200.
,

Immunohistochemical analysis of paraffin-embedded Human Skin Tissue using Phospho-MLKL S358 Mouse mAb diluted at 1:200.
风险提示:丁香通仅作为第三方平台,为商家信息发布提供平台空间。用户咨询产品时请注意保护个人信息及财产安全,合理判断,谨慎选购商品,商家和用户对交易行为负责。对于医疗器械类产品,请先查证核实企业经营资质和医疗器械产品注册证情况。
文献和实验v468. chapter 4 WNT 细胞通路 检测细胞GSK3活性与表达水平
are prepared using Adobe Photoshop and MicrosoftPowerpoint software. 2.5. Immunoprecipitation Kinase Activity Assays 1. The anti-GSK3b monoclonal antibody is from BD TransductionLaboratories (#610201) and protein G-Sepharose is fromAmersham (#17-0618-01
secondary antibody review -- data from 99 publications
epithelial Caco2/bbe cells Bio-Rad 10 rhodamine immunocytochemistry 1:100 detect phospho-CREB in human colonic epithelial Caco2/bbe cells Bio-Rad 11 goat IgG FITC immunohistochemistry 1:40 detect ameloblastin in mouse postnatal mandibular molars
or overnight at 4°C with agitation. For a mouse monoclonal antibody, a goat anti-mouse HRP-conjugated antibody is recommended, for a rabbit polyclonal antibody, a goat anti-rabbit HRP-conjugated antibody is advisable. Wash the membrane five times
技术资料暂无技术资料 索取技术资料





![PELP1 antibody[38628]](https://img1.dxycdn.com/p/s14/2025/0922/359/6146153295428599691.jpg!wh200)
![Phospho-Smad3(S425) Mouse Monoclonal Antibody(1D9)[12838]](https://img1.dxycdn.com/p/s14/2025/0922/568/0046652811090600791.jpg!wh200)

![MARK2 (phospho-Thr596) Polyclonal Antibody[13730]](https://img1.dxycdn.com/p/s14/2025/0922/498/0460884283108299691.jpg!wh200)

