相关产品推荐更多 >
万千商家帮你免费找货
0 人在求购买到急需产品
- 详细信息
- 文献和实验
- 技术资料
- 免疫原:
Peptide sequence around phosphorylation site of Serine 246(I-F-S(p)-H-P) derived from Human ILK.
- 形态:
liquid
- 保存条件:
Store at -20˚C
- 克隆性:
Polyclonal
- 适应物种:
Human
- 保质期:
12 months
- 抗原来源:
Rabbit
- 供应商:
南京赛戈巍生物科技有限公司
- 宿主:
Rabbit
- 应用范围:
IHC
- 靶点:
Uniprot:Q13418
- 抗体英文名:
ILK (Phospho-Ser246) Antibody
- 规格:
50ul/100ul
配方:Rabbit IgG in phosphate buffered saline (without Mg2+ and Ca2+), pH 7.4, 150mM NaCl, 0.02% sodium azide and 50% glycerol.
应用详情:
Immunohistochemistry: 1:50~1:100
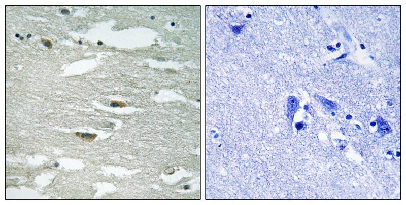
图片:

Immunohistochemical analysis of paraffin-embedded human brain tissue using ILK (Phospho-Ser246) antibody #11733 (left)or the same antibody preincubated with blocking peptide (right).
风险提示:丁香通仅作为第三方平台,为商家信息发布提供平台空间。用户咨询产品时请注意保护个人信息及财产安全,合理判断,谨慎选购商品,商家和用户对交易行为负责。对于医疗器械类产品,请先查证核实企业经营资质和医疗器械产品注册证情况。
文献和实验licanming 我的实验是用VEGF处理细胞后测定细胞PKC激活水平,拟采用Western blot的方法,用ECL法检测,这样分析PKC激活程度结果国际上认可吗? 我在Cell Signaling Technology上,查到 2261 Phospho-(Ser) PKC Substrate Antibody W IP E D 9371 Phospho-PKC (pan) (betaII Ser660) Antibody W IP
antibody dilution buffer: TBS-T supplemented with2% (w/v) BSA. 6. Antibodies: Phospho-b-catenin Ser33/Ser37/Thr41, phospho-glycogen synthase Ser641, and glycogen synthase (CellSignaling Technologies, Beverly, MA); b-catenin and GSK-3b(BD PharMingen, San
domains as well as ataxia telangiectasia mutated (ATM) protein kinase in cells treated with inhibitors of DNA replication. Phosphorylation of these proteins is detected in individual cell immunocytochemically with phospho-specific antibody (Ab
技术资料暂无技术资料 索取技术资料






![TARDBP Rabbit Polyclonal Antibody[53592]](https://img1.dxycdn.com/p/s14/2025/0922/498/0460884283108299691.jpg!wh200)
![Cadherin 9 Antibody[47815]](https://img1.dxycdn.com/p/s14/2025/0923/278/4431488150116040791.jpg!wh200)

