相关产品推荐更多 >
![UDP-N-acetylglucosamine--peptide N-acetylglucosaminyltransferase 110 kDa subunit Polyclonal Antibody[42277]](https://img1.dxycdn.com/p/s14/2025/0922/568/0046652811090600791.jpg!wh200)
UDP-N-acetylglucosamine--peptide N-acetylglucosaminyltransferase 110 kDa subunit Polyclonal Antibody[42277]
询价![Mitochondrial import inner membrane translocase subunit TIM16 Polyclonal Antibody[42697]](https://img1.dxycdn.com/p/s14/2025/0922/568/0046652811090600791.jpg!wh200)
Mitochondrial import inner membrane translocase subunit TIM16 Polyclonal Antibody[42697]
询价![PARVB Polyclonal Antibody[27924]](https://img1.dxycdn.com/p/s14/2025/0923/305/2150219664296040791.jpg!wh200)
PARVB Polyclonal Antibody[27924]
询价![Aconitase 1 Conjugated Antibody[C56911]](https://img1.dxycdn.com/p/s14/2025/0922/632/2321321568067599691.jpg!wh200)
Aconitase 1 Conjugated Antibody[C56911]
询价![Mib1 Conjugated Antibody[C49913]](https://img1.dxycdn.com/p/s14/2025/0923/305/2150219664296040791.jpg!wh200)
Mib1 Conjugated Antibody[C49913]
询价
万千商家帮你免费找货
0 人在求购买到急需产品
- 详细信息
- 文献和实验
- 技术资料
- 免疫原:
Peptide sequence around phosphorylation site of serine 83 (G-S-S(p)-V-G) derived from Human ASK1.
- 形态:
liquid
- 保存条件:
Store at -20˚C
- 克隆性:
Polyclonal
- 适应物种:
Human
- 保质期:
12 months
- 抗原来源:
Rabbit
- 供应商:
南京赛戈巍生物科技有限公司
- 宿主:
Rabbit
- 应用范围:
WB IHC
- 靶点:
Uniprot:Q99683
- 抗体英文名:
ASK1(Phospho-Ser83) Antibody
- 规格:
50ul/100ul
配方:Supplied at 1.0mg/mL in phosphate buffered saline (without Mg2+ and Ca2+), pH 7.4, 150mM NaCl, 0.02% sodium azide and 50% glycerol.
应用详情:
Predicted MW: 155kd
Western blotting: 1:500~1:1000
Immunohistochemistry: 1:50~1:100
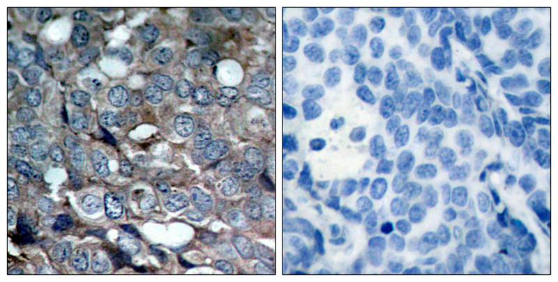
图片:

Western blot analysis of extracts from K562 cells using ASK1(Phospho-Ser83) Antibody #11178(Lane 2) and the same antibody preincubated with blocking peptide(Lane1).
,

Immunohistochemical analysis of paraffin-embedded human breast carcinoma tissue using ASK1(Phospho-Ser83) Antibody #11178(left) or the same antibody preincubated with blocking peptide(right).
,

Western blot analysis of extracts from 3T3 cells, treated with Anisomycin or calf intestinal phosphatase (CIP), using ASK1 (Phospho-Ser83) Antibody #11178.
风险提示:丁香通仅作为第三方平台,为商家信息发布提供平台空间。用户咨询产品时请注意保护个人信息及财产安全,合理判断,谨慎选购商品,商家和用户对交易行为负责。对于医疗器械类产品,请先查证核实企业经营资质和医疗器械产品注册证情况。
文献和实验secondary antibody review -- data from 99 publications
cytometry used as a control to detect cell responses targeted antigen 7 Alexa Fluor 488 7 Cy3 8 goat IgG Alexa Fluor 488 1:2000 detect antibody binding in human embryonic kidney 293T cells Invitrogen 9 donkey
licanming 我的实验是用VEGF处理细胞后测定细胞PKC激活水平,拟采用Western blot的方法,用ECL法检测,这样分析PKC激活程度结果国际上认可吗? 我在Cell Signaling Technology上,查到 2261 Phospho-(Ser) PKC Substrate Antibody W IP E D 9371 Phospho-PKC (pan) (betaII Ser660) Antibody W IP
antibody dilution buffer: TBS-T supplemented with2% (w/v) BSA. 6. Antibodies: Phospho-b-catenin Ser33/Ser37/Thr41, phospho-glycogen synthase Ser641, and glycogen synthase (CellSignaling Technologies, Beverly, MA); b-catenin and GSK-3b(BD PharMingen, San
技术资料暂无技术资料 索取技术资料






