相关产品推荐更多 >
万千商家帮你免费找货
0 人在求购买到急需产品
- 详细信息
- 文献和实验
- 技术资料
- 免疫原:
Peptide sequence around phosphorylation site of threonine 645 (P-A-T(p)-I-K) derived from Human STAT6.
- 形态:
liquid
- 保存条件:
Store at -20˚C
- 克隆性:
Polyclonal
- 适应物种:
Human
- 保质期:
12 months
- 抗原来源:
Rabbit
- 供应商:
南京赛戈巍生物科技有限公司
- 宿主:
Rabbit
- 应用范围:
WB IHC
- 靶点:
Uniprot:P42226
- 抗体英文名:
STAT6(Phospho-Thr645) Antibody
- 规格:
50ul/100ul
配方:Supplied at 1.0mg/mL in phosphate buffered saline (without Mg2+ and Ca2+), pH 7.4, 150mM NaCl, 0.02% sodium azide and 50% glycerol.
应用详情:
Predicted MW: 110kd
Immunohistochemistry: 1:50~1:100
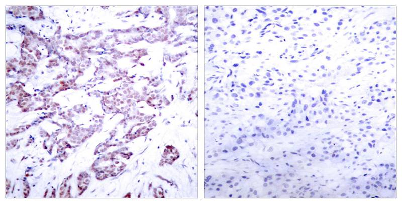
图片:

Immunohistochemical analysis of paraffin-embedded human breast carcinoma tissue using STAT6(Phospho-Thr645) Antibody #11051(left) or the same antibody preincubated with blocking peptide(right).
,

Western blot analysis of extracts from Hela cells, treated with IL-4 or calf intestinal phosphatase (CIP), using STAT6 (Phospho-Thr645) Antibody #11051.
风险提示:丁香通仅作为第三方平台,为商家信息发布提供平台空间。用户咨询产品时请注意保护个人信息及财产安全,合理判断,谨慎选购商品,商家和用户对交易行为负责。对于医疗器械类产品,请先查证核实企业经营资质和医疗器械产品注册证情况。
文献和实验运用Cell Based Elisa检测信号通路蛋白和磷酸化蛋白
using Phospho-p38 antibody (A) and Total-p38 antibody (B). Cell Based Elisa were performed directly in the 96-well plates using Phospho-p38 and Total-p38 antibodies (C). Figure 3: JNK detection with FACECells were serum-starved for 16 hours
9921 Phospho-PKC Antibody Sampler Kit 9375 Phospho-PKCalpha/beta II (Thr638/641) Antibody W IP 9374 Phospho-PKCdelta (Thr505) Antibody W IHC 9376 Phospho-PKCdelta/theta (Ser643/676) Antibody W IHC 9377 Phospho-PKCtheta (Thr538
antibody dilution buffer: TBS-T supplemented with2% (w/v) BSA. 6. Antibodies: Phospho-b-catenin Ser33/Ser37/Thr41, phospho-glycogen synthase Ser641, and glycogen synthase (CellSignaling Technologies, Beverly, MA); b-catenin and GSK-3b(BD PharMingen, San
技术资料暂无技术资料 索取技术资料





![WDR4 Conjugated Antibody[C42846]](https://img1.dxycdn.com/p/s14/2025/0923/278/4431488150116040791.jpg!wh200)
![ERK1/2 (Phospho-Thr202/Tyr204)Rabbit mAb[14302]](https://img1.dxycdn.com/p/s14/2025/0922/632/2321321568067599691.jpg!wh200)
![Factor VII light chain Polyclonal Antibody FITC Conjugated[C92643FITC]](https://img1.dxycdn.com/p/s14/2025/0922/498/0460884283108299691.jpg!wh200)
![NSUN2 Conjugated Antibody[C30455]](https://img1.dxycdn.com/p/s14/2025/0923/305/2150219664296040791.jpg!wh200)

