相关产品推荐更多 >
万千商家帮你免费找货
0 人在求购买到急需产品
- 详细信息
- 文献和实验
- 技术资料
- 免疫原:
Peptide sequence around phosphorylation site of threonine 71 or 53 (T-P-T(p)-P-T) derived from Human ATF2.
- 形态:
liquid
- 保存条件:
Store at -20˚C
- 克隆性:
Polyclonal
- 适应物种:
Human;Mouse;Rat
- 保质期:
12 months
- 抗原来源:
Rabbit
- 供应商:
南京赛戈巍生物科技有限公司
- 宿主:
Rabbit
- 应用范围:
WB IHC
- 靶点:
Uniprot:P15336
- 抗体英文名:
ATF2(Phospho-Thr71 or 53) Antibody
- 规格:
50ul/100ul
配方:Supplied at 1.0mg/mL in phosphate buffered saline (without Mg2+ and Ca2+), pH 7.4, 150mM NaCl, 0.02% sodium azide and 50% glycerol.
应用详情:
Predicted MW: 65-75 kd
Western blotting: 1:500~1:1000
Immunohistochemistry: 1:50~1:100
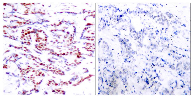
图片:

Immunohistochemical analysis of paraffin-embedded human breast carcinoma tissue using ATF2(Phospho-Thr71 or 53) Antibody #11031(left) or the same antibody preincubated with blocking peptide(right).
,

Western blot analysis of extracts from HUVEC cells untreated or treated with Anisomycin using ATF2 (Phospho-Thr71 or 53) Antibody #11031.
风险提示:丁香通仅作为第三方平台,为商家信息发布提供平台空间。用户咨询产品时请注意保护个人信息及财产安全,合理判断,谨慎选购商品,商家和用户对交易行为负责。对于医疗器械类产品,请先查证核实企业经营资质和医疗器械产品注册证情况。
文献和实验人总P53蛋白(Total P53)ELISA试剂盒 说明书
上海西唐生物科技有限公司 021-55229872, 65333639 www.westang.com 人总P53 蛋白 ( Total P53 )ELISA 试剂盒 原理 本实验采用双抗体夹心 ABC-ELISA 法。用抗人 P53 单抗包被于酶标板上,标准品和样品中的 P53与单抗结合,加入生物素化的抗人 P53 ,形成免疫复合物连接在板上,辣根
secondary antibody review -- data from 99 publications
cytometry used as a control to detect cell responses targeted antigen 7 Alexa Fluor 488 7 Cy3 8 goat IgG Alexa Fluor 488 1:2000 detect antibody binding in human embryonic kidney 293T cells Invitrogen 9 donkey
豚鼠总P53蛋白(Total P53)ELISA试剂盒 说明书
上海西唐生物科技有限公司 021-55229872, 65333639 www.westang.com 豚鼠总P53 蛋白 ( Total P53 )ELISA 试剂盒 原理 本实验采用双抗体夹心 ABC-ELISA 法。用抗豚鼠 P53 单抗包被于酶标板上,标准品和样品中的 P53与单抗结合,加入生物素化的抗豚鼠 P53 ,形成免疫复合物连接在板上,辣根
技术资料暂无技术资料 索取技术资料





![ABL2 Rabbit mAb[49321]](https://img1.dxycdn.com/p/s14/2025/0923/496/0462304380155040791.jpg!wh200)
![EMSY Conjugated Antibody[C47105]](https://img1.dxycdn.com/p/s14/2025/0923/305/2150219664296040791.jpg!wh200)
![Histone H4 Polyclonal Antibody HRP Conjugated[C91687HRP]](https://img1.dxycdn.com/p/s14/2025/0922/498/0460884283108299691.jpg!wh200)

