相关产品推荐更多 >
万千商家帮你免费找货
0 人在求购买到急需产品
- 详细信息
- 文献和实验
- 技术资料
- 免疫原:
Synthetic peptide corresponding to residues near the N terminal of Arabidopsis thaliana actin
- 形态:
liquid
- 保存条件:
Store at -20˚C
- 克隆性:
Polyclonal
- 适应物种:
Plant
- 保质期:
12 months
- 抗原来源:
Rabbit
- 供应商:
南京赛戈巍生物科技有限公司
- 宿主:
Rabbit
- 应用范围:
WB,ELISA
- 靶点:
Uniprot:P53497
- 抗体英文名:
ACTIN Antibody
- 规格:
50ul/100ul
配方:Rabbit IgG in pH7.3 PBS, 0.05% NaN3, 50% Glycerol.
应用详情:
Western blotting: 1:500-1:2000
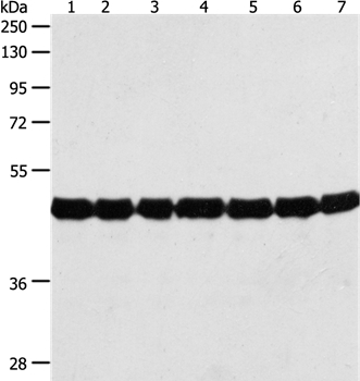
图片:

Gel: 10%SDS-PAGE
Lysates (from left to right): Cinnamomum camphora leaves, Nicotiana tabacum leaves, Triticum aestivuml leaves, Arabidopsis thaliana leaves, Brassica campestris flowers, Brassica campestris leaves, Vicit Faba leaves
Amount of lysate: 50ug per lane
Primary antibody: 1/500 dilution
Secondary antibody dilution: 1/8000
Exposure time: 20 seconds
风险提示:丁香通仅作为第三方平台,为商家信息发布提供平台空间。用户咨询产品时请注意保护个人信息及财产安全,合理判断,谨慎选购商品,商家和用户对交易行为负责。对于医疗器械类产品,请先查证核实企业经营资质和医疗器械产品注册证情况。
文献和实验Isolation of Actin and Myosin Filaments
LEVEL III Materials Relaxing Solution 0.1 M KCl 0.001 M MgCl 5 mM ATP 0.016 M NaH PO Na HPO Adjust pH to 7.3 0.05 M Sodium phosphate buffer, pH
dingxiangyua 有哪位高手知道F-GFP和GFP-actin的抗性分别是什么?急求 Fasta921 定位在膜上的GFP (F-GFP) 绿荧光蛋白(GFP)标记肌动蛋白(GFP-Actin) 抗性?不明白! biyuntian478 lz是啥意思? 本文由丁香园论坛提供,想了解更多有用的、有意思的前沿资讯以及酷炫的实验
. For primary antibody use anti-GST at 1:1000 and anti-actin at 1:1000. For secondary use HRP conjugated IgG at 1:10,000. Actin Capture Assay Reagants Binding Buffer: 1X PBS pH 7.2 (Lane Recipe) + 10% Glycerol + 1mMMgCl2 + 0.2mM ATP + 0.1% BSA
技术资料暂无技术资料 索取技术资料





![CARKL Conjugated Antibody[C34105]](https://img1.dxycdn.com/p/s14/2025/0923/278/4431488150116040791.jpg!wh200)
![SNAI3 Antibody[40110]](https://img1.dxycdn.com/p/s14/2025/0922/568/0046652811090600791.jpg!wh200)
![ZBTB42 Antibody[39463]](https://img1.dxycdn.com/p/s14/2025/0922/359/6146153295428599691.jpg!wh200)
![MRGPRX2 Mouse mAb[63949]](https://img1.dxycdn.com/p/s14/2025/0922/632/2321321568067599691.jpg!wh200)
![Mesothelin Polyclonal Antibody Biotin Conjugated[C90144Bio]](https://img1.dxycdn.com/p/s14/2025/0922/498/0460884283108299691.jpg!wh200)

