相关产品推荐更多 >
万千商家帮你免费找货
0 人在求购买到急需产品
- 详细信息
- 文献和实验
- 技术资料
- 免疫原:
A synthesized peptide derived from human CPD
- 形态:
liquid
- 保存条件:
Store at -20˚C
- 克隆性:
Polyclonal
- 适应物种:
Human
- 保质期:
12 months
- 抗原来源:
Rabbit
- 供应商:
南京赛戈巍生物科技有限公司
- 宿主:
Rabbit
- 应用范围:
IHC
- 靶点:
Uniprot:O75976
- 抗体英文名:
CPD Antibody
- 规格:
50ul/100ul
计算分子量:153kDa
配方:pH7.4 PBS, 0.05% NaN3, 40% Glycerol
应用详情:
IHC 1:40-1:200
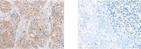
图片:

The image on the left is immunohistochemistry of paraffin-embedded Human prostate cancer tissue using (CPD Antibody) at dilution 1/70, on the right is treated with synthetic peptide. (Original magnification: 200)
风险提示:丁香通仅作为第三方平台,为商家信息发布提供平台空间。用户咨询产品时请注意保护个人信息及财产安全,合理判断,谨慎选购商品,商家和用户对交易行为负责。对于医疗器械类产品,请先查证核实企业经营资质和医疗器械产品注册证情况。
文献和实验血袋标签上ACP、CPD或CPDA是抗凝保存液配方的英文缩写词。 众所周知,血液到体外必须与抗凝保存液混合才能使血液不凝固,并且能够保存,目前常用的抗凝剂有三种: 一种叫酸性枸酸盐-葡萄糖溶液(ACP); 一种叫枸酸盐-磷酸盐-葡萄糖溶液(CPD); 还有一种在CDP保存液中加入腺嘌呤A变成(CPDA)。 ACD血只能保存21天,CPD血保存28天,而CPDA血在4摄氏度可达35天。
Generation of Antibody Molecules Through Antibody Engineering
been overcome to a large extent using genetic-engineering techniques to produce chimeric mouse/human and completely human antibodies. Such an approach is particularly suitable because of the domain structure of the antibody molecule ( 2 ), where functional
The importance of antibody molecules was first recognized in the 1890s, when it was shown that immunity to tetanus and diphtheria was caused by antibodies against the bacterial exotoxins (1 ). Around the same time, it was shown that antisera
技术资料暂无技术资料 索取技术资料





![BMPR1A Polyclonal Antibody Biotin Conjugated[C91097Bio]](https://img1.dxycdn.com/p/s14/2025/0922/498/0460884283108299691.jpg!wh200)
![FZD5 Mouse mAb[63657]](https://img1.dxycdn.com/p/s14/2025/0922/632/2321321568067599691.jpg!wh200)
![CXCL11 antibody[38745]](https://img1.dxycdn.com/p/s14/2025/0922/359/6146153295428599691.jpg!wh200)
![EPRS (Phospho-Ser999) Antibody[12853]](https://img1.dxycdn.com/p/s14/2025/0923/496/0462304380155040791.jpg!wh200)

