相关产品推荐更多 >
万千商家帮你免费找货
0 人在求购买到急需产品
- 详细信息
- 文献和实验
- 技术资料
- 免疫原:
Synthetic Peptide
- 形态:
liquid
- 保存条件:
Store at -20˚C
- 克隆性:
Monoclonal
- 适应物种:
Human;Mouse;Rat
- 保质期:
12 months
- 抗原来源:
Mouse
- 供应商:
南京赛戈巍生物科技有限公司
- 宿主:
Mouse
- 应用范围:
WB IHC
- 靶点:
Uniprot:P35638
- 抗体英文名:
CHOP Mouse Monoclonal Antibody(2B1)
- 规格:
50ul/100ul
计算分子量:27kd
配方:Liquid in PBS containing 50% glycerol, 0.5% BSA and 0.02% sodium azide.
应用详情:Western blotting: 1:1000-1:2000
Immunohistochemistry: 1:100-1:200
图片:

Western blot analysis of Mouse Liver Tissue Lysate using CHOP Mouse mAb diluted at 1:2000.
,

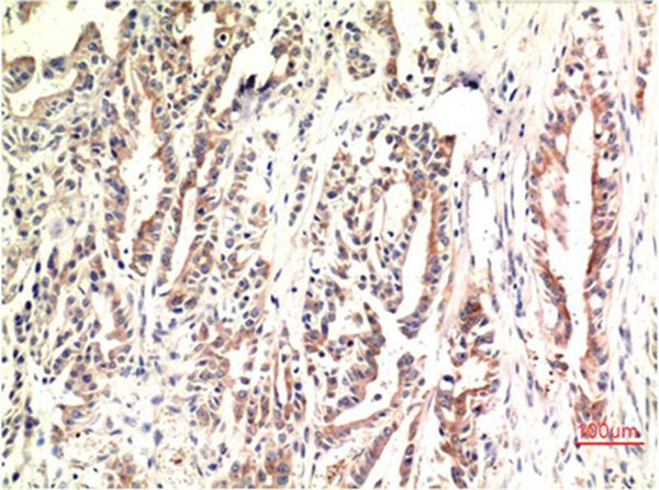
Immunohistochemical analysis of paraffin-embedded Human Stomach Carcinoma Tissue using CHOP Mouse mAb diluted at 1:200.
,

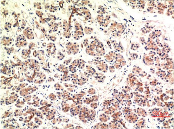
Immunohistochemical analysis of paraffin-embedded Human Pancreas Carcinoma Tissue using CHOP Mouse mAb diluted at 1:200.
风险提示:丁香通仅作为第三方平台,为商家信息发布提供平台空间。用户咨询产品时请注意保护个人信息及财产安全,合理判断,谨慎选购商品,商家和用户对交易行为负责。对于医疗器械类产品,请先查证核实企业经营资质和医疗器械产品注册证情况。
文献和实验Rapid Isotyping of Mouse Monoclonal Antibodies
, isotyping is useful to control lot to lot consistency, detect contamination by another antibody, and identify hybridoma switch variants (see Notes 2 –8 for further comment on applications). Table 1 Isotype-Dependent Properties of Monoclonal
Isolation of Human Monoclonal Antibodies Using Guided Selection with Mouse Monoclonal Antibodies
Repertoires of antibody (Ab) V genes derived from nonimmunized human donors (1 ) or made synthetically (2 3 ) have been cloned for display on filamentous bacteriophage as either scFvs or Fabs fused to the minor phage coat protein (pIII
Monoclonal Antibody Production
and screening of the hybridomas: 1. Bleeding Mice (1) Place the mouse in a mouse restrainer. (2) Sterilize the tail with 70% ethanol. (3) With a razor blade,nip off the last 2 mm of the tip of the tail. (4) Using a milking motion,pull blood down and let
技术资料暂无技术资料 索取技术资料






![PLCL1 Conjugated Antibody[C37831]](https://img1.dxycdn.com/p/s14/2025/0923/278/4431488150116040791.jpg!wh200)
![OPRK1 Conjugated Antibody[C28419]](https://img1.dxycdn.com/p/s14/2025/0923/305/2150219664296040791.jpg!wh200)

