相关产品推荐更多 >
万千商家帮你免费找货
0 人在求购买到急需产品
- 详细信息
- 文献和实验
- 技术资料
- 免疫原:
Fusion protein of human STAT3
- 形态:
liquid
- 保存条件:
Store at -20˚C
- 克隆性:
Polyclonal
- 适应物种:
Human
- 保质期:
12 months
- 抗原来源:
Rabbit
- 供应商:
南京赛戈巍生物科技有限公司
- 宿主:
Rabbit
- 应用范围:
IHC
- 靶点:
Uniprot:P40763
- 抗体英文名:
STAT3 Antibody
- 规格:
50ul/100ul
配方:Rabbit IgG in pH7.4 PBS, 0.05% NaN3, 40% Glycerol.
应用详情:
Immunohistochemistry: 1:25-1:100
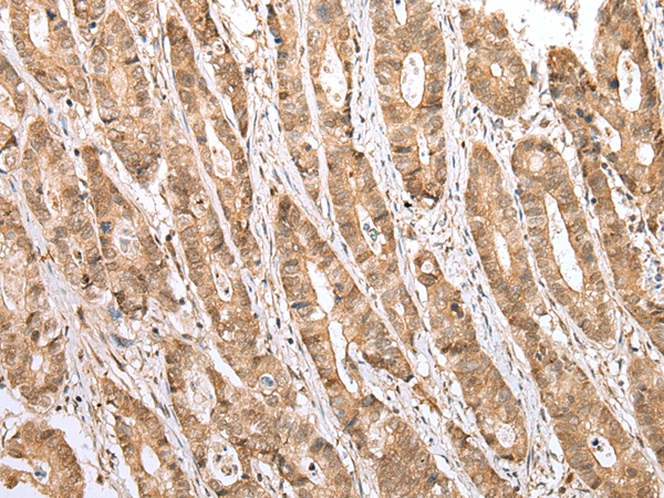
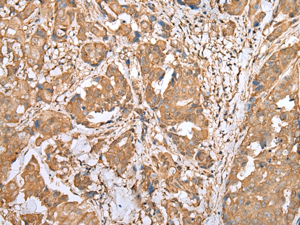
图片:

Immunohistochemical analysis of paraffin-embedded Human gastric cancer tissue using #43315 at dilution 1/20.
,

Immunohistochemical analysis of paraffin-embedded Human breast cancer tissue using #43315 at dilution 1/20.
风险提示:丁香通仅作为第三方平台,为商家信息发布提供平台空间。用户咨询产品时请注意保护个人信息及财产安全,合理判断,谨慎选购商品,商家和用户对交易行为负责。对于医疗器械类产品,请先查证核实企业经营资质和医疗器械产品注册证情况。
文献和实验【求助】请问用显性负性STAT3和STAT3 mRNA干扰阻断信号差异
semiboat 请问用显性负性STAT3质粒转染阻断IL-6/gp130/STAT3通道和STAT3 mRNA干扰阻断此信号通道有什么差异,在阻断此通道时是否都可以使用,园内各位XDJM有谁知道,非常感谢!! bacchante miRNA干扰比较现代化一些。 显性负作用似乎还要考虑内源蛋白的影响,如果你的启动元件活力不够高,那么你就抑制作用可能就不明显。 另外,似乎不能rescue,也就是说,似乎显性
haohuaiyong 各位战友,最近我在做磷酸化STAT3的检测,用cell signaling公司的磷酸化检测抗体与总STAT3抗体做WB,实验组(bFGF+EGF)与阳性对照的磷酸化水平是有增加的,但总STAT3在实验组是减少的而在对照组是强表达的,我看别人的文献都是将总STAT3作为阳性内参一样,应该是不变化的啊,为什么我做了好多次都是不均一的啊?实在是搞不明白,请做过这方面的战友帮忙!谢谢! dzhzh 你的灌注
maggertu 想请教个问题,做stat3的免疫组化,是选用stat3抗体,还是p-stat3抗体?看到国外大部分文章都做p-stat3,而国内有些文章用stat3抗体,搞不明白 zfyyzz00 stat3抗体只是检测总蛋白,看活性必须要做P-stat3。 在转录水平就应该做EMSA maggertu 谢谢,再请教一下,应该只有磷酸化的stat3才能进行核内转移,那么做stat3抗体
技术资料暂无技术资料 索取技术资料





![Trk C (Phospho-Tyr516) Polyclonal Conjugated Antibody[C12340]](https://img1.dxycdn.com/p/s14/2025/0923/278/4431488150116040791.jpg!wh200)
![ABCD1 Antibody[43954]](https://img1.dxycdn.com/p/s14/2025/0922/568/0046652811090600791.jpg!wh200)
![Carcinoembryonic Antigen Antibody[38106]](https://img1.dxycdn.com/p/s14/2025/0922/359/6146153295428599691.jpg!wh200)
![Mouse Anti-Duck IgY (H&L) HRP[L35030]](https://img1.dxycdn.com/p/s14/2025/0922/498/0460884283108299691.jpg!wh200)
![GARNL3 Antibody[47767]](https://img1.dxycdn.com/p/s14/2025/0923/496/0462304380155040791.jpg!wh200)

