相关产品推荐更多 >
万千商家帮你免费找货
0 人在求购买到急需产品
- 详细信息
- 文献和实验
- 技术资料
- 形态:
liquid
- 保存条件:
Store at -20˚C
- 克隆性:
Monoclonal
- 适应物种:
Hu
- 保质期:
12 months
- 抗原来源:
Mouse
- 供应商:
南京赛戈巍生物科技有限公司
- 宿主:
Mouse
- 应用范围:
IHC
- 靶点:
Uniprot:P11465
- 抗体英文名:
Carcinoembryonic Antigen Antibody
- 规格:
50ul/100ul
配方:Mouse IgG1 in phosphate buffered saline (without Mg2+ and Ca2+), pH 7.4, 150mM NaCl, 0.02% sodium azide and 50% glycerol.
应用详情:Immunohistochemistry: 1:200
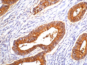
图片:

IHC staining of human colon cancer tissue with CEA mouse mAb(10E1) diluted at 1:200.
风险提示:丁香通仅作为第三方平台,为商家信息发布提供平台空间。用户咨询产品时请注意保护个人信息及财产安全,合理判断,谨慎选购商品,商家和用户对交易行为负责。对于医疗器械类产品,请先查证核实企业经营资质和医疗器械产品注册证情况。
文献和实验Crystallographic Studies of Antigen-Antibody Interactions
X-ray crystallography provides a powerful tool for the study of antigen- antibody interactions. Information provided by crystallographic studies of antigen-antibody complexes includes the topological description of intermolecular contacts
The Use of Antigen Microarrays in Antibody Profiling
Technological advances in the field of microarray production and analysis lead to the development of protein microarrays. Of these, antigen microarrays are one particular format that allows the study of antigen–antibody interactions
Probing Antibody-Antigen Interactions by Mass Spectrometry
by Suckau (10 ), who compared the pattern of proteolytic digestion of free peptide antigen with the pattern produced from the antigen bound to an antibody. Alternatively, these workers subjected the peptide to proteolytic digestion and identified products
技术资料暂无技术资料 索取技术资料





![ORC2 Polyclonal Antibody[29390]](https://img1.dxycdn.com/p/s14/2025/0923/305/2150219664296040791.jpg!wh200)
![Ribosomal Protein S6 (phospho-Ser240) Polyclonal Antibody[13559]](https://img1.dxycdn.com/p/s14/2025/0922/498/0460884283108299691.jpg!wh200)
![Ku-70 Polyclonal Antibody[41726]](https://img1.dxycdn.com/p/s14/2025/0922/568/0046652811090600791.jpg!wh200)
![AD7C-NTP Conjugated Antibody[C36756]](https://img1.dxycdn.com/p/s14/2025/0923/278/4431488150116040791.jpg!wh200)
