相关产品推荐更多 >
万千商家帮你免费找货
0 人在求购买到急需产品
- 详细信息
- 文献和实验
- 技术资料
- 免疫原:
Raised against a peptide corresponding to 14 amino acids near the carboxy terminus of human PKR.
- 形态:
liquid
- 保存条件:
Store at -20˚C
- 克隆性:
Polyclonal
- 适应物种:
Human;Mouse;Rat
- 保质期:
12 months
- 抗原来源:
Rabbit
- 供应商:
南京赛戈巍生物科技有限公司
- 宿主:
Rabbit
- 应用范围:
ELISA WB IHC
- 靶点:
Uniprot:AAP57628
- 抗体英文名:
PKR Antibody
- 规格:
50ul/100ul
配方:Supplied in PBS containing 0.02% sodium azide.
图片:

Western blot analysis of PKR in A431 whole cell lysate with PKR antibody at (A) 0.5, (B) 1 and (C) 2 ug/mL.
,

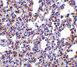
Immunohistochemistry of PKR in rat lung tissue with PKR antibody at 2.5 ug/mL.
,

Immunofluorescence of PKR in mouse lung tissue with PKR antibody at 20 μg/ml.
风险提示:丁香通仅作为第三方平台,为商家信息发布提供平台空间。用户咨询产品时请注意保护个人信息及财产安全,合理判断,谨慎选购商品,商家和用户对交易行为负责。对于医疗器械类产品,请先查证核实企业经营资质和医疗器械产品注册证情况。
文献和实验PKR in Innate Immunity, Cancer, and Viral Oncolysis
of related cytokines with potent antimicrobial and immuno-modulatory activities. The IFNs exert their effects through the induction of numerous genes, one of which is the double-stranded RNA-dependent protein kinase (PKR), a pivotal antiviral protein
Generation of Antibody Molecules Through Antibody Engineering
been overcome to a large extent using genetic-engineering techniques to produce chimeric mouse/human and completely human antibodies. Such an approach is particularly suitable because of the domain structure of the antibody molecule ( 2 ), where functional
The importance of antibody molecules was first recognized in the 1890s, when it was shown that immunity to tetanus and diphtheria was caused by antibodies against the bacterial exotoxins (1 ). Around the same time, it was shown that antisera
技术资料暂无技术资料 索取技术资料





![PYGM Antibody[36710]](https://img1.dxycdn.com/p/s14/2025/0922/359/6146153295428599691.jpg!wh200)
![Phosphoserine Monoclonal Antibody(5B12)[12828]](https://img1.dxycdn.com/p/s14/2025/0922/568/0046652811090600791.jpg!wh200)
![Cleaved Caspase-7 (Asp198) Antibody[44129]](https://img1.dxycdn.com/p/s14/2025/0922/632/2321321568067599691.jpg!wh200)

