相关产品推荐更多 >
万千商家帮你免费找货
0 人在求购买到急需产品
- 详细信息
- 文献和实验
- 技术资料
- 免疫原:
Raised against a peptide corresponding to 14 amino acids near the carboxy terminus of human ATM.
- 形态:
liquid
- 保存条件:
Store at -20˚C
- 克隆性:
Polyclonal
- 适应物种:
Human
- 保质期:
12 months
- 抗原来源:
Rabbit
- 供应商:
南京赛戈巍生物科技有限公司
- 宿主:
Rabbit
- 应用范围:
ELISA WB IHC
- 靶点:
Uniprot:AAB65827
- 抗体英文名:
ATM Antibody
- 规格:
50ul/100ul
配方:Supplied in PBS containing 0.02% sodium azide.
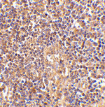
图片:

Western blot analysis of ATM in Daudi whole cell lysate with ATM antibody at (A) 1 and (B) 2 ug/mL.
,

Immunohistochemistry of ATM in human lymph node tissue with ATM antibody at 2.5 ug/mL.
风险提示:丁香通仅作为第三方平台,为商家信息发布提供平台空间。用户咨询产品时请注意保护个人信息及财产安全,合理判断,谨慎选购商品,商家和用户对交易行为负责。对于医疗器械类产品,请先查证核实企业经营资质和医疗器械产品注册证情况。
文献和实验Analyzing the Regulation and Function of ATM
activity is measured using p531–44 -specific substrate or by immunoblotting extracts with an anti-phosphoserine 15 p53-specific antibody. Missense mutations affecting ATM kinase activity are detected using in vitro mutagenesis of ATM cDNA followed
hj841023 http://www.ncbi.nlm.nih.gov/nuccore/224514928?report=genbank&log$=seqview&from=11637691&to=11820525 刚开始着手实验前期工作,有很多不懂的,请教论坛里各位高手,如何看懂GenBank里的ATM基因DNA序列,以上是相关链接。谢谢各位指教了。:) freecell 请参考这个帖子: http
Expression and Assay of Recombinant ATM
A variety of genetic disorders involve genome instability and abnormal response to DNA damaging agents. Investigation of these disorders has revealed different metabolic pathways responsible for damage repair on one hand, and for signaling
技术资料暂无技术资料 索取技术资料





![SMC6 Antibody[37958]](https://img1.dxycdn.com/p/s14/2025/0922/359/6146153295428599691.jpg!wh200)
![CD45 Polyclonal Antibody PE-Cy3 Conjugated[C92245PE-Cy3]](https://img1.dxycdn.com/p/s14/2025/0922/498/0460884283108299691.jpg!wh200)
![PRPSAP1 Conjugated Antibody[C36188]](https://img1.dxycdn.com/p/s14/2025/0923/278/4431488150116040791.jpg!wh200)


