相关产品推荐更多 >
万千商家帮你免费找货
0 人在求购买到急需产品
- 详细信息
- 文献和实验
- 技术资料
- 免疫原:
Peptide sequence around phosphorylation site of tyrosine 537(P-L-Y(p)-D-L) derived from Human Estrogen Receptor-α.
- 形态:
liquid
- 保存条件:
Store at -20˚C
- 克隆性:
Polyclonal
- 适应物种:
Human;Mouse
- 保质期:
12 months
- 抗原来源:
Rabbit
- 供应商:
南京赛戈巍生物科技有限公司
- 宿主:
Rabbit
- 应用范围:
WB IHC
- 靶点:
Uniprot:P03372
- 抗体英文名:
Estrogen Receptor-α (Phospho-Tyr537) Antibody
- 规格:
50ul/100ul
配方:Rabbit IgG in phosphate buffered saline (without Mg2+ and Ca2+), pH 7.4, 150mM NaCl, 0.02% sodium azide and 50% glycerol.
应用详情:
Western blotting: 1:500~1:1000
Immunohistochemistry: 1:50~1:100
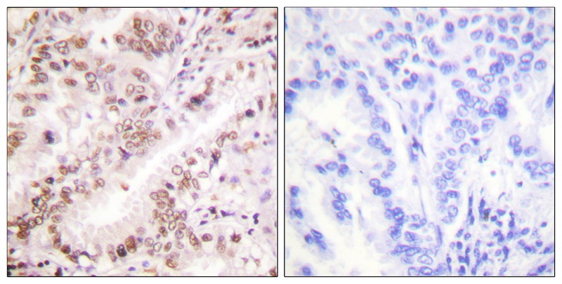
图片:

Western blot analysis of extracts from K562 cells (Lane 2), using Estrogen Receptor-α (Phospho-Tyr537) Antibody #11657. The lane on the left is treated with antigen-specific peptide.
,

Immunohistochemical analysis of paraffin-embedded human lung carcinoma tissue using Estrogen Receptor-α (Phospho-Tyr537) antibody #11657 (left)or the same antibody preincubated with blocking peptide (right).
风险提示:丁香通仅作为第三方平台,为商家信息发布提供平台空间。用户咨询产品时请注意保护个人信息及财产安全,合理判断,谨慎选购商品,商家和用户对交易行为负责。对于医疗器械类产品,请先查证核实企业经营资质和医疗器械产品注册证情况。
文献和实验Detection of Estrogen Receptor by In Situ Hybridization
distribution of estrogen receptor mRNA in the adult rat brain (1 –3 ). Clearly labeled cells were found in regions with widespread connections throughout the brain, suggesting that estrogen receptor may modulate a wide variety of neural functions. Furthermore
Estrogen Receptor mRNA In Situ Hybridization Using Microprobe System
of this family, including their subtypes have been cloned and characterized. For instance, until the recent cloning of a second estrogen receptor (ER) α, ERβ had been considered as the only receptor able to bind estrogen with high affinity. ERα protein is smaller
Isolation of Proteins Associated with the DNA-Bound Estrogen Receptor
of proteins associated with the DNA-bound estrogen receptor α (ERα) using an agarose-based electrophoretic mobility shift assay (EMSA). This method should be readily adapted to a variety of cultured cell lines, DNA sequences, and transcription factors
技术资料暂无技术资料 索取技术资料





![TMEM256 Antibody[46686]](https://img1.dxycdn.com/p/s14/2025/0923/496/0462304380155040791.jpg!wh200)
![TUSC2 Rabbit Polyclonal Antibody[55109]](https://img1.dxycdn.com/p/s14/2025/0922/498/0460884283108299691.jpg!wh200)

![CHI3L1 antibody[38608]](https://img1.dxycdn.com/p/s14/2025/0922/359/6146153295428599691.jpg!wh200)

