相关产品推荐更多 >
万千商家帮你免费找货
0 人在求购买到急需产品
- 详细信息
- 文献和实验
- 技术资料
- 免疫原:
Raised against a synthetic peptide corresponding to amino acids 97 to 111 of human IL-21 receptor precursor.
- 形态:
liquid
- 保存条件:
Store at -20˚C
- 克隆性:
Polyclonal
- 适应物种:
Human;Mouse;Rat
- 保质期:
12 months
- 抗原来源:
Rabbit
- 供应商:
南京赛戈巍生物科技有限公司
- 宿主:
Rabbit
- 应用范围:
ELISA WB IHC
- 抗体英文名:
IL-21 Receptor Antibody
- 规格:
50ul/100ul
配方:Supplied in PBS containing 0.02% sodium azide.
应用详情:Predicted MW: 60 kd
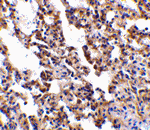
图片:

Western blot analysis of IL-21 receptor expression in human Raji cell lysate with IL-21 Receptor antibody at 1 ug /ml.
,

Immunohistochemistry of IL-21 receptor in rat lung with IL-21 receptor antibody at 10 ug/mL.
风险提示:丁香通仅作为第三方平台,为商家信息发布提供平台空间。用户咨询产品时请注意保护个人信息及财产安全,合理判断,谨慎选购商品,商家和用户对交易行为负责。对于医疗器械类产品,请先查证核实企业经营资质和医疗器械产品注册证情况。
文献和实验上海西唐生物科技有限公司 021-55229872, 65333639 www.westang.com 人白介素-21 (IL-21)ELISA 试剂盒 ( 用于血清、血浆、细胞培养上清液和其它生物体液内 ) 原理 本实验采用双抗体夹心 ABC-ELISA 法。用抗人 IL-21 单抗包被于酶标板上,标准品和样品中的 IL-21与单抗结合,加入生物素化的抗人 IL-
上海西唐生物科技有限公司 021-55229872, 65333639 www.westang.com 小鼠白介素-21 (IL-21)ELISA 试剂盒 ( 用于血清、血浆、细胞培养上清液和其它生物体液内 ) 原理 本实验采用双抗体夹心 ABC-ELISA 法。用抗小鼠 IL-21 单抗包被于酶标板上,标准品和样品中的 IL-21与单抗结合,加入生物素化的抗小鼠
CD21 分子 CD21 常用单克隆抗体或代号: B2,OKB- 1;(CR2) 主要表达细胞: Pre- B,B,FDC [B] 分子质量(kDa)和结构: p145(RCA) 功 能: C3d/EBV受体,B细胞活化,结合sCD23,信号转导 CD21 Aka CR2, C3d receptor, EBV receptor Binds to Epstein Barr
技术资料暂无技术资料 索取技术资料





![OR Antibody[44609]](https://img1.dxycdn.com/p/s14/2025/0922/568/0046652811090600791.jpg!wh200)
![RFC1 Conjugated Antibody[C32351]](https://img1.dxycdn.com/p/s14/2025/0923/278/4431488150116040791.jpg!wh200)
![ADAM10 Conjugated Antibody[C49473]](https://img1.dxycdn.com/p/s14/2025/0923/305/2150219664296040791.jpg!wh200)
![Histone H2B (formyl K120) Conjugated Antibody[C56956]](https://img1.dxycdn.com/p/s14/2025/0922/632/2321321568067599691.jpg!wh200)

