相关产品推荐更多 >
万千商家帮你免费找货
0 人在求购买到急需产品
- 详细信息
- 文献和实验
- 技术资料
- 免疫原:
Synthetic peptide of human SLC2A6
- 形态:
liquid
- 保存条件:
Store at -20˚C
- 克隆性:
Polyclonal
- 适应物种:
Human;Mouse
- 保质期:
12 months
- 抗原来源:
Rabbit
- 供应商:
南京赛戈巍生物科技有限公司
- 宿主:
Rabbit
- 应用范围:
WB IHC
- 靶点:
Uniprot:Q9UGQ3
- 抗体英文名:
SLC2A6 Antibody
- 规格:
50ul/100ul
计算分子量:54kd
配方:Rabbit IgG in pH7.4 PBS, 0.05% NaN3, 40% Glycerol.
应用详情:WB 1:500-1:2000 IHC 1:50-1:200
图片:

Gel: 8%SDS-PAGE Lysate: 40 ug Lane 1-3: 293T, Jurkat, Hela cell lysates Primary antibody: (SLC2A6 Antibody) at dilution 1/800 Secondary antibody: (HRP-conjugated Goat anti rabbit IgG) at 1/5000 dilution Exposure time: 2 minutes
,

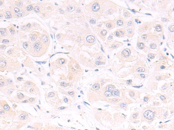
The image on the left is immunohistochemistry of paraffinembedded Human liver cancer tissue using (SLC2A6 Antibody) at dilution 1/50
,

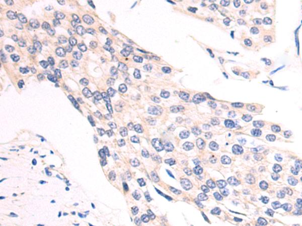
The image on the left is immunohistochemistry of paraffinembedded Human breast cancer tissue using (SLC2A6 Antibody) at dilution 1/50
风险提示:丁香通仅作为第三方平台,为商家信息发布提供平台空间。用户咨询产品时请注意保护个人信息及财产安全,合理判断,谨慎选购商品,商家和用户对交易行为负责。对于医疗器械类产品,请先查证核实企业经营资质和医疗器械产品注册证情况。
文献和实验Spectrofluorometric Analysis of CYP2A6-Catalyzed Coumarin 7-Hydroxylation
CYP2A6 has been isolated and purified to apparent homogeneity from human liver (1 , 2 ). The level of CYP2A6 protein expressed in liver is low (∼4% of total hepatic P450 content) (3 ), although substantial intermdividual variation exists
Generation of Antibody Molecules Through Antibody Engineering
been overcome to a large extent using genetic-engineering techniques to produce chimeric mouse/human and completely human antibodies. Such an approach is particularly suitable because of the domain structure of the antibody molecule ( 2 ), where functional
have been identified, encoded by separate genes, VMAT1 (SLC18A1 ) and VMAT2 (SLC18A2 ). Although it was reported initially that only VMAT2 is expressed in brain, recent studies indicate that VMAT1 is also expressed in brain, thus making both transporters plausible
技术资料暂无技术资料 索取技术资料





![SH-PTP1 (Phospho-Tyr536) Polyclonal Conjugated Antibody[C12279]](https://img1.dxycdn.com/p/s14/2025/0923/278/4431488150116040791.jpg!wh200)
![LAMC3 Antibody[34280]](https://img1.dxycdn.com/p/s14/2025/0922/359/6146153295428599691.jpg!wh200)
![MIP-3α Polyclonal Conjugated Antibody[C46835]](https://img1.dxycdn.com/p/s14/2025/0923/305/2150219664296040791.jpg!wh200)
![UQCRFS1 Rabbit Polyclonal Antibody[53787]](https://img1.dxycdn.com/p/s14/2025/0922/498/0460884283108299691.jpg!wh200)

