相关产品推荐更多 >
万千商家帮你免费找货
0 人在求购买到急需产品
- 详细信息
- 文献和实验
- 技术资料
- 免疫原:
Recombinant human O-phosphoseryl-tRNA(Sec) selenium transferase protein
- 形态:
liquid
- 保存条件:
Store at -20˚C
- 克隆性:
Polyclonal
- 适应物种:
Human
- 保质期:
12 months
- 抗原来源:
Rabbit
- 供应商:
南京赛戈巍生物科技有限公司
- 宿主:
Rabbit
- 应用范围:
WB IHC
- 靶点:
Uniprot:Q9HD40
- 抗体英文名:
O-phosphoseryl-tRNA(Sec) selenium transferase Polyclonal Antibody
- 规格:
50ul/100ul
计算分子量:55kd
配方:Preservative: 0.03% Proclin 300 Constituents: 50% Glycerol, 0.01M PBS, PH 7.4
应用详情:Western blotting: 1:500 - 1:1000
Immunohistochemistry: 1:20 - 1:200
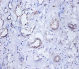
图片:

All lanes:O-phosphoseryl-tRNA(Sec) selenium transferase antibody at 2ug/ml+293T whole cell lysate Secondary Goat polyclonal to Rabbit IgG at 1/10000 dilution Predicted band size :55KDa Observed band size:55KDa
,

Immunohistochemical analysis of paraffin-embeded human kidney using #42582 at dilution of 1:100.
风险提示:丁香通仅作为第三方平台,为商家信息发布提供平台空间。用户咨询产品时请注意保护个人信息及财产安全,合理判断,谨慎选购商品,商家和用户对交易行为负责。对于医疗器械类产品,请先查证核实企业经营资质和医疗器械产品注册证情况。
文献和实验Chromatin Immunoprecipitation (ChIP)
should be ~1.4-1.6. 12. Aliquot 100 µg of chromatin per antibody to be used into microcentrifuge tubes. It is important to have an irrelevant antibody such as -glutathione S-transferase as a control. 13. Dilute the chromatin to a final
Immunofluorescence Analysis Using Epitope-Tagged Proteins: In Vitro System
The resolution that can be attained in assessment of the intranuclear localization of cellular proteins is dependent on specificity of the antibodies. Primary antibodies should be well characterized. We recommend testing antibody specificity
Evaluation of the Cardiac Isoform of 2-Macroglobulin as a Factor Inducing Cardiac Hypertrophy
of cardiac hypertrophy. It was accompanied by enlargement of cardiac myocytes and induction of -myosin heavy chain (MHC) and MLC-2 gene expression. Multiple injections of 182-kDa protein-specific polyclonal antibody into the circulation of aorta-constricted
技术资料暂无技术资料 索取技术资料





![RPS15A Rabbit Polyclonal Antibody[53131]](https://img1.dxycdn.com/p/s14/2025/0922/498/0460884283108299691.jpg!wh200)
![RGS4 Conjugated Antibody[C42733]](https://img1.dxycdn.com/p/s14/2025/0923/278/4431488150116040791.jpg!wh200)
![SIN3B Antibody[43634]](https://img1.dxycdn.com/p/s14/2025/0922/568/0046652811090600791.jpg!wh200)
![CNP antibody[38166]](https://img1.dxycdn.com/p/s14/2025/0922/359/6146153295428599691.jpg!wh200)

