相关产品推荐更多 >
万千商家帮你免费找货
0 人在求购买到急需产品
- 详细信息
- 文献和实验
- 技术资料
- 免疫原:
Recombinant human Alkaline phosphatase, tissue-nonspecific isozyme
- 形态:
liquid
- 保存条件:
Store at -20˚C
- 克隆性:
Polyclonal
- 适应物种:
Human
- 保质期:
12 months
- 抗原来源:
Rabbit
- 供应商:
南京赛戈巍生物科技有限公司
- 宿主:
Rabbit
- 应用范围:
IHC
- 靶点:
Uniprot:P05186
- 抗体英文名:
Alkaline phosphatase, tissue-nonspecific isozyme Polyclonal Antibody
- 规格:
50ul/100ul
配方:Preservative: 0.03% Proclin 300 Constituents: 50% Glycerol, 0.01M PBS, PH 7.4
应用详情:
Immunohistochemistry: 1:20 - 1:200
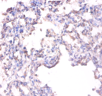
图片:

Immunohistochemical analysis of paraffin-embeded human lung using #42555 at dilution of 1:100.
风险提示:丁香通仅作为第三方平台,为商家信息发布提供平台空间。用户咨询产品时请注意保护个人信息及财产安全,合理判断,谨慎选购商品,商家和用户对交易行为负责。对于医疗器械类产品,请先查证核实企业经营资质和医疗器械产品注册证情况。
文献和实验DETECTION OF ß-GALACTOSIDASE AND ALKALINE PHOSPHATASE ACTIVITIES IN TISSUE
of X-gal can be easier to detect prior to carrying out the X-Phos reaction as background alkaline phosphatase staining can obscure it, particularly in whole mounts. Rinse the tissue very well with PBS prior to PLAP staining as residual ß-gal activity
Histochemical staining of sea urchin embryos for alkaline phosphatase (AP) enzyme activity
Histochemical staining of sea urchin embryos for alkaline phosphatase (AP) enzyme activity 1. Obtain embryo samples, tube of AP substrate buffer and tube of phosphate buffered saline ( PBS ) for each group. Allow embryos
ALKALINE PHOSPHATASE (APAAP) TECHNIQUE
antibody. 30 minutes. 5. Jet wash in tris/HC1 saline buffer pH 7.6. 6. Wash in buffer. 3 minutes. Steps 7-9 for POLYCLONAL Primary Antisera Only 7. Incubate in mouse anti-rabbit immunoglobulins. 30 minutes. 8. Jet wash in buffer.
技术资料暂无技术资料 索取技术资料





![ABCD1 Rabbit Polyclonal Antibody[53310]](https://img1.dxycdn.com/p/s14/2025/0922/498/0460884283108299691.jpg!wh200)
![FBXW12 Antibody[39865]](https://img1.dxycdn.com/p/s14/2025/0922/568/0046652811090600791.jpg!wh200)
![MDR1 Conjugated Antibody[C48315]](https://img1.dxycdn.com/p/s14/2025/0923/305/2150219664296040791.jpg!wh200)
