相关产品推荐更多 >
万千商家帮你免费找货
0 人在求购买到急需产品
- 详细信息
- 文献和实验
- 技术资料
- 抗体名:
Anti-CD11a [hu1124 (Efalizumab)]抗体
- 抗体英文名:
Anti-CD11a [hu1124 (Efalizumab)]
- 靶点:
CD11a
- 浓度:
1 mg/ml
- 应用范围:
Blocking, FC
- 宿主:
Human
- 适应物种:
Human
- 保质期:
6-12个月
- 抗原来源:
详询
- 目录编号:
orb348923
- 级别:
科研级
- 库存:
88
- 供应商:
biorbyt
- 标记物:
Unconjugated
- 克隆性:
Monoclonal
- 亚型:
Human IgG
- 免疫原:
Efalizumab binds to CD11a, a subunit of leukocyte function antigen-1 (LFA-1), which is expressed on all leukocytes.
- 规格:
0.2 mg
产品描述:Rabbit monoclonal antibody to CD11a
别名:LFA-1; integrin alpha L
免疫原:Efalizumab binds to CD11a, a subunit of leukocyte function antigen-1 (LFA-1), which is expressed on all leukocytes.
克隆性:hu1124 (Efalizumab)
纯度:Purified
防腐剂:PBS with 0.02% Proclin 300.
保存说明:Maintain refrigerated at 2-8°C for up to 2 weeks. For long term storage store at -20°C in small aliquots to prevent freeze-thaw cycles.
Pubmed:10826130
UniProt ID:P20701
Note:For research use only.


别名:LFA-1; integrin alpha L
免疫原:Efalizumab binds to CD11a, a subunit of leukocyte function antigen-1 (LFA-1), which is expressed on all leukocytes.
克隆性:hu1124 (Efalizumab)
纯度:Purified
防腐剂:PBS with 0.02% Proclin 300.
保存说明:Maintain refrigerated at 2-8°C for up to 2 weeks. For long term storage store at -20°C in small aliquots to prevent freeze-thaw cycles.
Pubmed:10826130
UniProt ID:P20701
Note:For research use only.

Flow-cytometry using the anti-CD11a research biosimilar antibody Efalizumab (hu1124) Human lymphocytes were stained with an isotype control (orb256390, panel A) or the rabbit-chimeric version of Efalizumab (orb348923, panel B) at a concentration of 1 µg/ml for 30 mins at RT. After washing, bound antibody was detected using a AF488 conjugated donkey anti-rabbit antibody and cells analysed on a FACSCanto flow-cytometer.

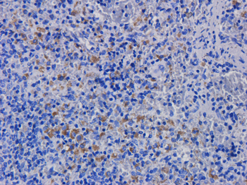
Immunohistochemical staining of rat spleen tissue using anti-CD11a antibody hu1124 (Efalizumab). Anti-CD11a staining of formaldehyde fixed paraffin embedded rat spleen tissue, at 40x magnification. The human IgG1-chimeric version of hu1124 (orb348868) was used to stain samples at a concentration of 3 µg/ml.
风险提示:丁香通仅作为第三方平台,为商家信息发布提供平台空间。用户咨询产品时请注意保护个人信息及财产安全,合理判断,谨慎选购商品,商家和用户对交易行为负责。对于医疗器械类产品,请先查证核实企业经营资质和医疗器械产品注册证情况。
文献和实验该产品被引用文献
Bauer, R. J. et al. Population pharmacokinetics and pharmacodynamics of the anti-CD11a antibody hu1124 in human subjects with psoriasis J Pharmacokinet Biopharm, 27, 397-420 (1999)
技术资料暂无技术资料 索取技术资料
文献支持
Anti-CD11a [hu1124 (Efalizumab)]抗体,orb348923,biorbyt
¥6890


![Anti-CD11a [hu1124 (Efalizumab)]抗体,orb348923,biorbyt](https://img1.dxycdn.com/p/s14/2025/1203/171/0004241594798316991.jpg)







