相关产品推荐更多 >
万千商家帮你免费找货
0 人在求购买到急需产品
- 详细信息
- 技术资料
- 抗体名:
CD4 Rabbit Polyclonal Antibody抗体
- 抗体英文名:
CD4 Rabbit Polyclonal Antibody
- 靶点:
CD4
- 浓度:
1mg/ml
- 应用范围:
FC, IF, IHC-Fr, IHC-P, WB
- 宿主:
Rabbit
- 适应物种:
Human, Mouse, Porcine
- 保质期:
6-12个月
- 抗原来源:
详询
- 目录编号:
orb182470
- 级别:
科研级
- 库存:
88
- 供应商:
biorbyt
- 标记物:
Unconjugated
- 克隆性:
Polyclonal
- 形态:
Liquid
- 亚型:
IgG
- 免疫原:
KLH conjugated synthetic peptide derived from human CD4 (385-457/457aa)
- 规格:
50 ul
产品描述:CD4 Rabbit Polyclonal Antibody
别名:CD4(L3T4); CD4 antigen(p55); CD4 Antigen; CD4 molecule; CD4 Receptor; CD4+Lymphocyte deficiency, included; CD4mut; L3T4; Leu3; Ly-4; Lymphocyte antigen CD4; MGC165891; p55; T Cell Antigen T4; T cell antigen T4/LEU3; T cell differentiation antigen L3T4; T cell OKT4 deficiency, included; T cell surface antigen T4/Leu 3; T cell surface antigen T4/Leu3; T Cell Surface Glycoprotein CD4; W3/25; W3/25 antigen; T-cell surface glycoprotein CD4 isoform 1 precursor; CD4_HUMAN.
免疫原:KLH conjugated synthetic peptide derived from human CD4 (385-457/457aa)
预测反应性:Bovine, Canine, Guinea pig, Rat, Sheep
分子量:48 kDa
应用稀释比例:WB=1:500-2000, IHC-P=1:100-500, IHC-F=1:100-500, IF=1:100-500, Flow-Cyt=1μg/Test
防腐剂:0.01M TBS (pH7.4) with 1% rAlbumin, 0.02% Proclin300 and 50% Glycerol.
纯化:Affinity purified by Protein A
保存说明:Maintain refrigerated at 2-8°C for up to 2 weeks. For long term storage store at -20°C in small aliquots to prevent freeze-thaw cycles.
UniProt ID:P01730
Note:For research use only.







别名:CD4(L3T4); CD4 antigen(p55); CD4 Antigen; CD4 molecule; CD4 Receptor; CD4+Lymphocyte deficiency, included; CD4mut; L3T4; Leu3; Ly-4; Lymphocyte antigen CD4; MGC165891; p55; T Cell Antigen T4; T cell antigen T4/LEU3; T cell differentiation antigen L3T4; T cell OKT4 deficiency, included; T cell surface antigen T4/Leu 3; T cell surface antigen T4/Leu3; T Cell Surface Glycoprotein CD4; W3/25; W3/25 antigen; T-cell surface glycoprotein CD4 isoform 1 precursor; CD4_HUMAN.
免疫原:KLH conjugated synthetic peptide derived from human CD4 (385-457/457aa)
预测反应性:Bovine, Canine, Guinea pig, Rat, Sheep
分子量:48 kDa
应用稀释比例:WB=1:500-2000, IHC-P=1:100-500, IHC-F=1:100-500, IF=1:100-500, Flow-Cyt=1μg/Test
防腐剂:0.01M TBS (pH7.4) with 1% rAlbumin, 0.02% Proclin300 and 50% Glycerol.
纯化:Affinity purified by Protein A
保存说明:Maintain refrigerated at 2-8°C for up to 2 weeks. For long term storage store at -20°C in small aliquots to prevent freeze-thaw cycles.
UniProt ID:P01730
Note:For research use only.

Blank control (blue line): HL60 (fixed with 2% Fixative (10 min) and then permeabilized with 0.1% PBS-Tween for 20 min at room temperature). Primary Antibody (green line): Rabbit Anti-CD4 antibody (orb182470), dilution: 1 µg/10^6 cells, Isotype Control Antibody (orange line): Rabbit IgG. Secondary Antibody (white blue line): Goat anti-rabbit IgG-FITC, dilution: 1 µg/Test.

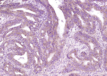
Fixative-fixed, paraffin embedded (human colon carcinoma), Antigen retrieval by boiling in sodium citrate buffer (pH6.0) for 15 min, Block endogenous peroxidase by 3% hydrogen peroxide for 20 minutes, Blocking buffer (normal goat serum) at 37°C for 30 min, Antibody incubation with (CD4) Polyclonal Antibody, Unconjugated (orb182470) at 1:4000 overnight at 4°C, followed by operating according to SP Kit (Rabbit) instructionsand DAB staining.

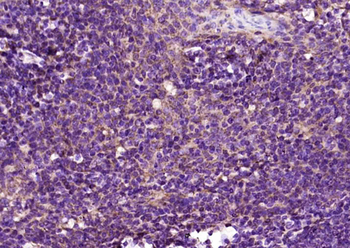
Fixative-fixed, paraffin embedded (human tonsil), Antigen retrieval by boiling in sodium citrate buffer (pH6.0) for 15 min, Block endogenous peroxidase by 3% hydrogen peroxide for 20 minutes, Blocking buffer (normal goat serum) at 37°C for 30 min, Antibody incubation with (CD4) Polyclonal Antibody, Unconjugated (orb182470) at 1:4000 overnight at 4°C, followed by operating according to SP Kit (Rabbit) instructionsand DAB staining.

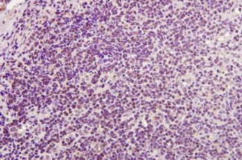
Pig lymph nodes stained with Rabbit Anti-CD4 Polyclonal Antibody at 1:300 for one hour at room temperature.

Sample: Lane 1: U937 (Human) Cell Lysate at 30 ug, Lane 2: HL-60 (Human) Cell Lysate at 30 ug, Lane 3: Jurkat (Human) Cell Lysate at 30 ug, Primary: Anti-CD4 (orb182470) at 1/1000 dilution, Secondary: IRDye800CW Goat Anti-Rabbit IgG at 1/20000 dilution, Predicted band size: 55 kD, Observed band size: 55 kD.

Sample: Lymph node (Mouse) Lysate at 40 ug, Primary: Anti-CD4 (orb182470) at 1/300 dilution, Secondary: IRDye800CW Goat Anti-Rabbit IgG at 1/20000 dilution, Predicted band size: 48 kD, Observed band size: 55kD.

Sample: Spleen (Mouse) Lysate at 40 ug, Primary: Anti-CD4 (orb182470) at 1/1000 dilution, Secondary: IRDye800CW Goat Anti-Rabbit IgG at 1/20000 dilution, Predicted band size: 48 kD, Observed band size: 55 kD.
风险提示:丁香通仅作为第三方平台,为商家信息发布提供平台空间。用户咨询产品时请注意保护个人信息及财产安全,合理判断,谨慎选购商品,商家和用户对交易行为负责。对于医疗器械类产品,请先查证核实企业经营资质和医疗器械产品注册证情况。
技术资料暂无技术资料 索取技术资料
CD4 Rabbit Polyclonal Antibody抗体,orb182470,biorbyt
¥3120










