相关产品推荐更多 >
万千商家帮你免费找货
0 人在求购买到急需产品
- 详细信息
- 文献和实验
- 技术资料
- 免疫原:
KLH-conjugated synthetic peptide encompassing a sequence within the center region of Chk1. The exact sequence is proprietary.
- 亚型:
IgG
- 形态:
Liquid
- 保存条件:
Store as concentrated solution. Centrifuge briefly prior to opening vial. For short-term storage (1-2 weeks), store at 4ºC. For long-term storage, aliquot and store at -20ºC or below. Avoid multiple freeze-thaw cycles.
- 克隆性:
Polyclonal
- 标记物:
Unconjugated
- 适应物种:
Human, Mouse, Rat
- 保质期:
12 months from the shipping date of the product.
- 抗原来源:
Human
- 目录编号:
GTX56248
- 级别:
Primary Antibodies
- 库存:
Available
- 供应商:
GeneTex
- 宿主:
Rabbit
- 应用范围:
WB, ICC/IF, IHC-P
- 浓度:
Batch dependent (Please refer to the vial label for the specific concentration.)
- 靶点:
Chk1
- 抗体英文名:
Chk1 antibody
- 抗体名:
Chk1 抗体
- 规格:
100 μl
WB analysis of HeLa (A), mouse kidney (B), rat heart (C) whole cell lysates using GTX56248 Chk1 antibody.
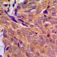
IHC-P analysis of formalin fixed human breast cancer tissue section using GTX56248 Chk1 antibody.
Antigen retrieval : Heat mediated antigen retrieval with sodium citrate buffer (pH 6.0)
ICC/IF analysis of formalin-fixed HeLa cells using GTX56248 Chk1 antibody.
Red : Primary antibody
Blue : DAPI
Permeabilization : 0.1% Triton X-100 in TBS for 5-10 minutes
风险提示:丁香通仅作为第三方平台,为商家信息发布提供平台空间。用户咨询产品时请注意保护个人信息及财产安全,合理判断,谨慎选购商品,商家和用户对交易行为负责。对于医疗器械类产品,请先查证核实企业经营资质和医疗器械产品注册证情况。
文献和实验checkpoint regulator that responds to DNA damage. Because CHK1 and CHK2 share some substrates such as CDC25C in vitro, this assay could also be used for CHK2 activity assay, except that the CHK2 antibody will replace the CHK1 antibody.
Methods for Studying Checkpoint Kinases Chk1
) that inhibits the activation of the mitotic cyclin-dependent kinase is activated to hold cells in the G2 phase of the cell cycle. The effector of this checkpoint is Chk1, a protein serine-threonine kinase. Chk1 contains an N-terminal catalytic domain, and C
throughout interphase but not in mitosis. The primary site for phosphorylation of cdc25 is at Ser216. Phosphorylated cdc25 binds to members of the 14-3-3 family of proteins which prevents its activation of cdc2. Chk1, a protein kinase involved in the DNA damage
技术资料暂无技术资料 索取技术资料










