相关产品推荐更多 >
万千商家帮你免费找货
0 人在求购买到急需产品
- 详细信息
- 文献和实验
- 技术资料
- 免疫原:
KLH-conjugated synthetic peptide encompassing a sequence within the center region of Cyclin G1. The exact sequence is proprietary.
- 亚型:
IgG
- 形态:
Liquid
- 保存条件:
Store as concentrated solution. Centrifuge briefly prior to opening vial. For short-term storage (1-2 weeks), store at 4ºC. For long-term storage, aliquot and store at -20ºC or below. Avoid multiple freeze-thaw cycles.
- 克隆性:
Polyclonal
- 标记物:
Unconjugated
- 适应物种:
Human, Mouse, Rat
- 保质期:
12 months from the shipping date of the product.
- 抗原来源:
Human
- 目录编号:
GTX55852
- 级别:
Primary Antibodies
- 库存:
Available
- 供应商:
GeneTex
- 宿主:
Rabbit
- 应用范围:
WB, IHC-P
- 浓度:
Batch dependent (Please refer to the vial label for the specific concentration.)
- 靶点:
Cyclin G1
- 抗体英文名:
Cyclin G1 antibody
- 抗体名:
Cyclin G1 抗体
- 规格:
100 μl
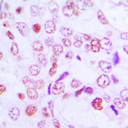
IHC-P analysis of formalin fixed human lung cancer tissue section using GTX55852 Cyclin G1 antibody.
Antigen retrieval : Heat mediated antigen retrieval with sodium citrate buffer (pH 6.0)
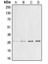
WB analysis of DLD (A), Jurkat (B), mouse liver (C), rat liver (D) whole cell lysates using GTX55852 Cyclin G1 antibody.
风险提示:丁香通仅作为第三方平台,为商家信息发布提供平台空间。用户咨询产品时请注意保护个人信息及财产安全,合理判断,谨慎选购商品,商家和用户对交易行为负责。对于医疗器械类产品,请先查证核实企业经营资质和医疗器械产品注册证情况。
文献和实验Assays for Cyclin-Dependent Kinase Inhibitors
of the Retinoblastoma gene product (Rb) by CDK4 and/or CDK6 (G1/S checkpoint), leading to the release of bound E2F from Rb and allowing the transcription of genes by “free E2F” necessary for S phase progression. During late G1 phase, CDK2/cyclin E complex phosphorylates
Analysis of Cyclin-Dependent Kinase Activity
of certain kinases. The cell cycle kinases in particular fluctuate in maximal phosphotransfer ability with respect to the cell cycle. The five cyclin-dependent kinases (CDKs) that possess the major cell cycle phase-transition activities have specific areas
The Biology of Cyclins and Cyclin-Dependent Protein Kinases: An Introduction
cell cycle progression. The relatively simple mechanisms discovered in yeast cells, which have one G1 cyclin, one G2 cyclin, and a single CDK, are replaced in mammalian cells by a richly redundant molecular network, including multiple cyclins, CDKs
技术资料暂无技术资料 索取技术资料











