万千商家帮你免费找货
0 人在求购买到急需产品
- 详细信息
- 文献和实验
- 技术资料
- 库存:
120
- 供应商:
沪震生物
- 品系:
细胞系
- 组织来源:
肺
- 相关疾病:
见说明书
- 物种来源:
人
- 免疫类型:
见说明书
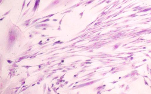
- 细胞形态:
贴壁;上皮细胞样
- 是否是肿瘤细胞:
见说明书
- 器官来源:
肺
- 运输方式:
干冰运输or活细胞运输
- 年限:
1-52
- 生长状态:
贴壁;上皮细胞样
| 产品编号 | 名称 | 规格 | 价格 | 产品说明书 |
|---|---|---|---|---|
| HZ-H676 | NCI-H1793; 人肺癌细胞 | 1×10^6 cells/瓶 | 询价 | 下载 |
细胞名称:NCI-H1793 人肺癌细胞
组织来源:肺
培养条件:1640 +10% FBS
形 态:贴壁;上皮细胞样
NCI-H1793细胞提供原代/传代细胞,质量保证,生长状态良好,没有细菌 真菌 支原体等微生物污染。细胞一般以T25培养瓶包装,容积75ml细胞数量可达10的6次方左右。购买方收到细胞应当马上检查,如发现细胞状态不佳或者大部分死亡情况下,须当天联系我司。得到我技术确认后免费补发一株。一周内发现细胞有污染情况,请拍照记录并与销售部联系。

NCI-H1793细胞的冻存是细胞培养的基本操作,不同的实验室采用的方法略有差异,但是都会遵循慢冻速溶的宗旨。我认为有以下几点需要注意:
(1)冻存前细胞状态,细胞最好在对数生长期,细胞密度适合,刚刚发生细胞融合,过密或连成片的细胞状态不好,而且消化时不容易分散;
(2)冻存的密度不宜过低,10的6次方-7次方的数量级比较好,我冻存的细胞一般T25培养瓶(5*107),一瓶冻一管(1.5ml冻存管),10cm培养皿(大概10的8次方个细胞)分成两管。
(3)NCI-H1793细胞消化和吹打,切忌胰酶消化过度,吹打不可太用力,最好不要吹出好多泡泡。消化后立即加入完全培养基吹打哦,不是加入冻存液再吹打。
(4)离心后加入冻存液。冻存液中FBS的用量对于肿瘤细胞株而言要求不是很严格,我从10%-90%都用过,问题不大,个人认为10%-20%可以了,能节约处就节约点嘛!另外,冻存液可以在处理细胞前配置,放在4度冰箱预冷。细胞离心后直接用预冷的冻存液重悬,移入冻存管。
(5)关于“慢冻”,传统的方法,NCI-H1793细胞冻存管用棉花包好,4度2h,-20度2h或更长,-80度过夜,最后液氮。对于条件较好的实验室和细胞冻存数量多的实验室,推荐使用程序降温盒,内装异丙醇,在-80度并内可以逐渐降温,很方便,省了包棉花、4度、-20度了。
风险提示:丁香通仅作为第三方平台,为商家信息发布提供平台空间。用户咨询产品时请注意保护个人信息及财产安全,合理判断,谨慎选购商品,商家和用户对交易行为负责。对于医疗器械类产品,请先查证核实企业经营资质和医疗器械产品注册证情况。
文献和实验都是贴壁细胞,在消化传代过程中,步骤如下:倒尽旧的培养液->用无血清的培养基清洗一两次->加入一定量的胰酶,置于37度培养箱中5--10分钟,使细胞悬浮->显微镜下观察,待细胞大部分变圆时,回到超静台->加入一定量的含血清的新培养液,以终止胰酶作用->反复吹打细胞->再置显微镜下观察,直到细胞全部悬浮起来->吸出一部分加入新的培养瓶中->最后再补充加入一定量新的培养液。注意: 1、吹细胞时尽量多吹边角儿,此处细胞生长的多。2、吸出细胞前要混匀,可以剧烈震荡培养瓶。3、我们用的是DMEM
方法1、培养液中按1%的体积加双抗(含青霉素1万U/ml,链霉素0.01g/ml)及肝素液(含肝素100U/ml)。用3.5%NaHCO3液调pH值为7.2~7.4,然后加灭活的小牛血清,使浓度为20%。再加PHA(50U~75U/ml),无菌分装于培养瓶内,每瓶1ml。2、无菌操作采血,并以肝素抗凝,同时进行白细胞计数及分类计数。3、取0.1ml抗凝血,加入到含1ml培养液的培养瓶中,每个血样接2~3个培养瓶。如果以血浆或分离的淋巴细胞代替全血,加入培养瓶中更好。4、37℃培养72h,在培养结束前16h
一、实验材料NCI-H1299,购自上海晶莱生物技术有限公司。表 2.1.1 主要试剂试剂与耗材厂家(货号)细胞培养瓶FALCON 中国(353014)Penicillin/streptomycin solution(KGY002)0.25% Tripsin-EDTA(BK-E3076)PBS(BK330-2)胎牛血清GIBCO 美国(10270-106)1640 培养基Hyclone 美国(SH3080901)Annexin V-FITC/PI 凋亡试剂盒 二、实验仪器表 2.2.1 主要
技术资料暂无技术资料 索取技术资料










