相关产品推荐更多 >
万千商家帮你免费找货
0 人在求购买到急需产品
- 详细信息
- 技术资料
- 免疫原:
Recombinant protein encompassing a sequence within the center region of human ATP6V1A. The exact sequence is proprietary.
- 亚型:
IgG2b
- 形态:
Liquid
- 保存条件:
Store as concentrated solution. Centrifuge briefly prior to opening vial. For short-term storage (1-2 weeks), store at 4ºC. For long-term storage, aliquot and store at -20ºC or below. Avoid multiple freeze-thaw cycles.
- 克隆性:
Monoclonal
- 标记物:
Unconjugated
- 适应物种:
Human, Rat
- 保质期:
12 months from the shipping date of the product.
- 抗原来源:
Human
- 目录编号:
GTX633543
- 级别:
Primary Antibodies
- 库存:
Available
- 供应商:
GeneTex
- 宿主:
Mouse
- 应用范围:
WB, ICC/IF, IHC-P, FACS
- 浓度:
2.99 mg/ml (Please refer to the vial label for the specific concentration.)
- 靶点:
ATP6V1A
- 抗体英文名:
ATP6V1A antibody [GT811]
- 抗体名:
ATP6V1A 抗体 [GT811]
- 规格:
100 μl/25 μl
| 规格: | 100 μl | 产品价格: | ¥4000.0 |
|---|---|---|---|
| 规格: | 25 μl | 产品价格: | ¥1700.0 |
Non-transfected (–) and transfected (+) 293T whole cell extracts (30 μg) were separated by 7.5% SDS-PAGE, and the membrane was blotted with ATP6V1A antibody [GT811] (GTX633543) diluted at 1:500.
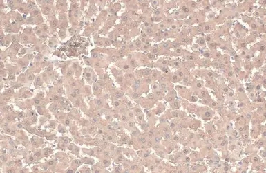
ATP6V1A antibody [GT811] detects ATP6V1A protein at cytoplasm by immunohistochemical analysis.
Sample: Paraffin-embedded rat liver.
ATP6V1A stained by ATP6V1A antibody [GT811] (GTX633543) diluted at 1:200.
Antigen Retrieval: Citrate buffer, pH 6.0, 15 min
ATP6V1A antibody [GT811] detects ATP6V1A protein at cytoplasm by immunofluorescent analysis.
Sample: Hep G2 cells were fixed in 4% PFA at RT for 15 min.
Green: ATP6V1A protein stained by ATP6V1A antibody [GT811] (GTX633543) diluted at 1:200.
Blue: Hoechst 33342 staining.
Whole cell extract (30 μg) was separated by 7.5% SDS-PAGE, and the membrane was blotted with ATP6V1A antibody [GT811] (GTX633543) diluted at 1:1000.
ATP6V1A antibody [GT811] (GTX633543) detects ATP6V1A protein by flow cytometry analysis.
Sample: HepG2 cell.
Black: Unlabelled sample was used as a control.
Red: ATP6V1A antibody [GT811] (GTX633543) dilution: 1:50.
Acquisition of 20,000 events were collected for FACS analysis.
风险提示:丁香通仅作为第三方平台,为商家信息发布提供平台空间。用户咨询产品时请注意保护个人信息及财产安全,合理判断,谨慎选购商品,商家和用户对交易行为负责。对于医疗器械类产品,请先查证核实企业经营资质和医疗器械产品注册证情况。
技术资料暂无技术资料 索取技术资料


![ATP6V1A antibody [GT811]](https://img1.dxycdn.com/2022/0329/975/0518554021537020453-14.jpg)



![Annexin A10 antibody [4D8]](https://img1.dxycdn.com/2022/0328/387/6124087443688500453-14.jpg!wh200)



