相关产品推荐更多 >
万千商家帮你免费找货
0 人在求购买到急需产品
- 详细信息
- 文献和实验
- 技术资料
- 免疫原:
Peptide with sequence C-KREKQDETQTKIK, from the internal region of the protein sequence according to NP_001894.2.
- 亚型:
IgG
- 形态:
Liquid
- 保存条件:
Store as concentrated solution. Centrifuge briefly prior to opening vial. For short-term storage (1-2 weeks), store at 4ºC. For long-term storage, aliquot and store at -20ºC or below. Avoid multiple freeze-thaw cycles.
- 克隆性:
Polyclonal
- 标记物:
Unconjugated
- 适应物种:
Human
- 保质期:
12 months from the shipping date of the product.
- 抗原来源:
Human
- 目录编号:
GTX89347
- 级别:
Primary Antibodies
- 库存:
Available
- 供应商:
GeneTex
- 宿主:
Goat
- 应用范围:
WB, IHC-P
- 浓度:
0.50 mg/ml (Please refer to the vial label for the specific concentration.)
- 靶点:
alpha 1 Catenin
- 抗体英文名:
alpha 1 Catenin antibody, Internal
- 抗体名:
alpha 1 Catenin 抗体, Internal
- 规格:
100 μg
WB analysis of HEK293 overexpressing human alpha 1 Catenin (mock transfection in first lane) using GTX89347 alpha 1 Catenin antibody, Internal.
WB analysis of human colon lysate using GTX89347 alpha 1 Catenin antibody, Internal.
Dilution : 1μg/ml
Loading : 35μg protein in RIPA buffer
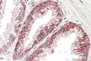
IHC-P analysis of human prostate using GTX89347 alpha 1 Catenin antibody, Internal.
Antigen retrieval : citrate buffer pH 6
Dilution : 3.8μg/ml
风险提示:丁香通仅作为第三方平台,为商家信息发布提供平台空间。用户咨询产品时请注意保护个人信息及财产安全,合理判断,谨慎选购商品,商家和用户对交易行为负责。对于医疗器械类产品,请先查证核实企业经营资质和医疗器械产品注册证情况。
文献和实验secondary antibody review -- data from 99 publications
cytometry used as a control to detect cell responses targeted antigen 7 Alexa Fluor 488 7 Cy3 8 goat IgG Alexa Fluor 488 1:2000 detect antibody binding in human embryonic kidney 293T cells Invitrogen 9 donkey
v468. chapter 4 WNT 细胞通路 检测细胞GSK3活性与表达水平
inhibition of GSK3 is tomonitor phosphorylation of specific GSK3 substrates in cells (e.g. b-catenin). Alternatively, Wnt inhibitionof GSK3 can be measured by partial purification of cellular GSK3 by ion exchange chromatography andassay of fractions
domesticus x Mus spretus] F1 DNA). In the analysis of the antibody bound (B) and unbound (U) fractions (right panel), the bands representing the maternal and paternal alleles are indicated.MATERIALS Reagents100-bp DNA step ladder (for duplex PCR
技术资料暂无技术资料 索取技术资料









![VEGF Receptor 2 antibody [MAB0701]](https://img1.dxycdn.com/2022/0328/010/5767697170799400453-14.jpg!wh200)

