相关产品推荐更多 >
万千商家帮你免费找货
0 人在求购买到急需产品
- 详细信息
- 文献和实验
- 技术资料
- 免疫原:
Peptide with sequence C-RNDPLNQNKGKPDLN, from the internal region of the protein sequence according to NP_003918.1.
- 亚型:
IgG
- 形态:
Liquid
- 保存条件:
Store as concentrated solution. Centrifuge briefly prior to opening vial. For short-term storage (1-2 weeks), store at 4ºC. For long-term storage, aliquot and store at -20ºC or below. Avoid multiple freeze-thaw cycles.
- 克隆性:
Polyclonal
- 标记物:
Unconjugated
- 适应物种:
Human
- 保质期:
12 months from the shipping date of the product.
- 抗原来源:
Human
- 目录编号:
GTX89182
- 级别:
Primary Antibodies
- 库存:
Available
- 供应商:
GeneTex
- 宿主:
Goat
- 应用范围:
WB, IHC-P
- 浓度:
0.50 mg/ml (Please refer to the vial label for the specific concentration.)
- 靶点:
This antibody is expected to resognize isoform 1 (NP_003918.1) only.
- 抗体英文名:
MBD2 (isoform 1) antibody, Internal
- 抗体名:
MBD2 (isoform 1) 抗体, Internal
- 规格:
100 μg
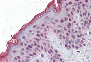
IHC-P analysis of human skin tissue using GTX89182 MBD2 (isoform 1) antibody, Internal.
Antigen retrieval : Steamed antigen retrieval with citrate buffer pH 6
Dilution : 2.5μg/ml
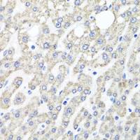
IHC-P analysis of human adrenal gland tissue using GTX89182 MBD2 (isoform 1) antibody, Internal.
Antigen retrieval : Steamed antigen retrieval with citrate buffer pH 6
Dilution : 2.5μg/ml
IHC-P analysis of human colon using GTX89182 MBD2 (isoform 1) antibody, Internal.
Antigen retrieval : citrate buffer pH 6
Dilution : 2.5μg/ml
WB analysis of Jurkat cell lysate using GTX89182 MBD2 (isoform 1) antibody, Internal.
Dilution : 0.3μg/ml
Loading : 35μg protein in RIPA buffer
风险提示:丁香通仅作为第三方平台,为商家信息发布提供平台空间。用户咨询产品时请注意保护个人信息及财产安全,合理判断,谨慎选购商品,商家和用户对交易行为负责。对于医疗器械类产品,请先查证核实企业经营资质和医疗器械产品注册证情况。
文献和实验Evaluation of the Cardiac Isoform of 2-Macroglobulin as a Factor Inducing Cardiac Hypertrophy
is a cardiac isoform of α2 -macroglobulin belonging to the macro-globulin family. Furthermore, it has been demonstrated that direct injection of the purified 182-kDa protein intravenously (through the tail vein) into the normal animals led to the development
Generation of Antibodies That Are Externally Acting Isoform-Specific Inhibitors of Ion Channels
There is demand for isoform-specific ion channel inhibitors as tools to investigate the biology of �endogenous ion channels and validate them as targets in drug discovery programs. There is also hope that such inhibitors
Preparation and Assay of Acetylcholinesterase Antibody
structures mimicking external antigen results from the fact that the conformation of some of the anti-idiotypic antibodies may be complementary to the three-dimensional structure of the binding site of the first antibody, and therefore, represents
技术资料暂无技术资料 索取技术资料





![Fc epsilon R1 alpha antibody [1F2A9]](https://img1.dxycdn.com/2022/0328/015/2559468964413500453-14.jpg!wh200)


![c-Met antibody [3i20(25H2)]](https://img1.dxycdn.com/2022/0329/839/7796707809734020453-14.jpg!wh200)
![DLL4 antibody [N1N2], N-term](https://img1.dxycdn.com/2022/0328/720/2342699277208200453-14.jpg!wh200)
