相关产品推荐更多 >
万千商家帮你免费找货
0 人在求购买到急需产品
- 详细信息
- 文献和实验
- 技术资料
- 免疫原:
The antiserum was produced against synthesized peptide derived from human Cathepsin G (21-51).
- 亚型:
IgG
- 形态:
Liquid
- 保存条件:
Store as concentrated solution. Centrifuge briefly prior to opening vial. For short-term storage (1-2 weeks), store at 4ºC. For long-term storage, aliquot and store at -20ºC or below. Avoid multiple freeze-thaw cycles.
- 克隆性:
Polyclonal
- 标记物:
Unconjugated
- 适应物种:
Human
- 保质期:
12 months from the shipping date of the product.
- 抗原来源:
Human
- 目录编号:
GTX86950
- 级别:
Primary Antibodies
- 库存:
Available
- 供应商:
GeneTex
- 宿主:
Rabbit
- 应用范围:
WB
- 浓度:
Batch dependent (Please refer to the vial label for the specific concentration.)
- 靶点:
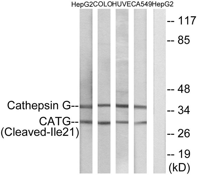
Cathepsin G (cleaved Ile21) antibody detects endogenous levels of fragment of activated CATG resulting from cleavage adjacent to Ile21.
- 抗体英文名:
Cathepsin G (cleaved Ile21) antibody
- 抗体名:
Cathepsin G (cleaved Ile21) 抗体
- 规格:
100 μg
WB analysis of HepG2, COLO, HUVEC, and A549 cell lysates using GTX86950 Cathepsin G (cleaved Ile21) antibody. The lane on the right is blocked with the synthesized peptide.
风险提示:丁香通仅作为第三方平台,为商家信息发布提供平台空间。用户咨询产品时请注意保护个人信息及财产安全,合理判断,谨慎选购商品,商家和用户对交易行为负责。对于医疗器械类产品,请先查证核实企业经营资质和医疗器械产品注册证情况。
文献和实验Neoepitope Antibodies Against MMP-Cleaved and Aggrecanase-Cleaved Aggrecan
in studies determining the contribution of matrix metalloproteinases (MMPs) and aggrecanases to aggrecanolysis. In particular, an antibody to the A374 RGSV N terminus was instrumental in the landmark discovery of the aggrecanases, ADAMTS-4 and ADAMTS-5
ANTIBODY BINDING TO PROTEIN A AND PROTEIN G
Protein A, derived from the cell wall of Staphylococcus aureus , and protein G, derived from the cell wall of certain strains of b -hemolytic Streptococcci , binds the Fc region
Neutrophil elastase, proteinase 3, and cathepsin G are three hematopoietic serine proteases, large quantities of which are stored in neutrophil cytoplasmic azurophilic granules. They act in combination with reactive oxygen species to degrade
技术资料暂无技术资料 索取技术资料











