相关产品推荐更多 >
万千商家帮你免费找货
0 人在求购买到急需产品
- 详细信息
- 文献和实验
- 技术资料
- 免疫原:
The antiserum was produced against synthesized peptide derived from human Lamin A (212-261).
- 亚型:
IgG
- 形态:
Liquid
- 保存条件:
Store as concentrated solution. Centrifuge briefly prior to opening vial. For short-term storage (1-2 weeks), store at 4ºC. For long-term storage, aliquot and store at -20ºC or below. Avoid multiple freeze-thaw cycles.
- 克隆性:
Polyclonal
- 标记物:
Unconjugated
- 适应物种:
Human, Mouse
- 保质期:
12 months from the shipping date of the product.
- 抗原来源:
Human
- 目录编号:
GTX86918
- 级别:
Primary Antibodies
- 库存:
Available
- 供应商:
GeneTex
- 宿主:
Rabbit
- 应用范围:
WB, IHC-P
- 浓度:
Batch dependent (Please refer to the vial label for the specific concentration.)
- 靶点:
Lamin A (cleaved Asp230) antibody detects endogenous levels of fragment of activated Lamin A resulting from cleavage adjacent to Asp230.
- 抗体英文名:
Lamin A (cleaved Asp230) antibody
- 抗体名:
Lamin A (cleaved Asp230) 抗体
- 规格:
100 μg
WB analysis of NIH/3T3 cells treated with Etoposide 25uM (60mins) lysate using GTX86918 Lamin A (cleaved Asp230) antibody. The lane on the right is blocked with the synthesized peptide.
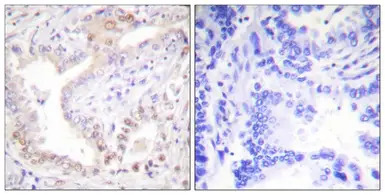
IHC-P analysis of human lung carcinoma tissue using GTX86918 Lamin A (cleaved Asp230) antibody. The picture on the right is blocked with the synthesized peptide.
风险提示:丁香通仅作为第三方平台,为商家信息发布提供平台空间。用户咨询产品时请注意保护个人信息及财产安全,合理判断,谨慎选购商品,商家和用户对交易行为负责。对于医疗器械类产品,请先查证核实企业经营资质和医疗器械产品注册证情况。
文献和实验Neoepitope Antibodies Against MMP-Cleaved and Aggrecanase-Cleaved Aggrecan
in studies determining the contribution of matrix metalloproteinases (MMPs) and aggrecanases to aggrecanolysis. In particular, an antibody to the A374 RGSV N terminus was instrumental in the landmark discovery of the aggrecanases, ADAMTS-4 and ADAMTS-5
monoclonal antibody production fusion
), 3 L, 0.22 (or 0.45) µm-filtered, store at -20ѓC = Asp-Arg x100, 1 L + Gluta x 50, 2 L + mercaptoethanol, 350 µl Asp-Arg x100, 1 L, pH 6.0 = L-Asparagine, 3.6 g (0.24 mM) + L-Arginine (0.55 mM), 11.6 g + HCl, 0.5N, 100 ml -> heat to 37ѓC
Production of Stabilized scFv Antibody Fragments in the E. coli Bacterial Cytoplasm
. The below protocol provides the detailed description of MBP-scFv production in E. coli utilizing two expression systems: pMalc-TNN and pMalc-NHNN. Although the MBP tag does not disrupt the most of antibody activities, the MBP-TNN-scFv product can be cleaved by TEV
技术资料暂无技术资料 索取技术资料











