相关产品推荐更多 >
万千商家帮你免费找货
0 人在求购买到急需产品
- 详细信息
- 文献和实验
- 技术资料
- 免疫原:
Synthetic peptide (aa 223-234 of Human Aurora Kinase B protein.)
- 亚型:
IgG
- 形态:
Liquid
- 保存条件:
Store as concentrated solution. Centrifuge briefly prior to opening vial. For short-term storage (1-2 weeks), store at 4ºC. For long-term storage, aliquot and store at -20ºC or below. Avoid multiple freeze-thaw cycles.
- 克隆性:
Polyclonal
- 标记物:
Unconjugated
- 适应物种:
Human, Monkey
- 保质期:
12 months from the shipping date of the product.
- 抗原来源:
Human
- 目录编号:
GTX85607
- 级别:
Primary Antibodies
- 库存:
Available
- 供应商:
GeneTex
- 宿主:
Rabbit
- 应用范围:
WB, ICC/IF, IHC-P, Dot, ELISA
- 浓度:
1 mg/ml (Please refer to the vial label for the specific concentration.)
- 靶点:
Aurora B (phospho Thr232)
- 抗体英文名:
Aurora B (phospho Thr232) antibody
- 抗体名:
Aurora B (phospho Thr232) 抗体
- 规格:
50 μg
Western Blot shows detection of Aurora B protein at 39 kD (predicted band size). All lanes: Aurora B (phospho T232) antibody diluted 1:500.
Lane 1: Extract from COS7 cells treated with Nocodazole (1 ug/ml, 16 hrs)
Lane 2: Extract from COS7 cells treated with Nocodazole (1 ug/ml, 16 hrs) and with the phosphopeptide immunogen
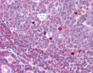
Human Tonsil (formalin-fixed, paraffin-embedded) stained with AURKB antibody (GTX85607) at 2.5 ug/ml followed by biotinylated goat anti-rabbit IgG secondary antibody LS-D1, alkaline phosphatase-streptavidin and chromogen.
风险提示:丁香通仅作为第三方平台,为商家信息发布提供平台空间。用户咨询产品时请注意保护个人信息及财产安全,合理判断,谨慎选购商品,商家和用户对交易行为负责。对于医疗器械类产品,请先查证核实企业经营资质和医疗器械产品注册证情况。
文献和实验Wang HC et al., Eur J Med Chem 2014 (PMID:25036791)
Jagtap AD et al., Eur J Med Chem 2014 (PMID:25089810)
Using Phospho‐Motif Antibodies to Determine Kinase Substrates
comprising both the phosphorylated residue and the surrounding residues that determine kinase specificity, with degenerate residues taking up the remaining positions. Currently, several categories of phospho?motif antibody are commercially available
Antibody-Induced Opsonophagocytosis of Serogroup B Meningococci Measured by Flow Cytometry
meningococci, there seems to be a correlation between SBA activity and protection (1 ), whereas OP has been less well-studied. This function may have a supplementary or even major role in protection against group B meningococci.
Optimized Protocol to Make Phospho-Specific Antibodies that Work
, not simply its level of expression. In this review, we will discuss both the design of the phosphopeptide immunogen and immunization. The affinity purification of the phospho-specific antibody as well as the methods most suitable for characterizing
技术资料暂无技术资料 索取技术资料





![TOM1L1 antibody [3F12]](https://img1.dxycdn.com/2022/0329/137/3158426787316020453-14.jpg!wh200)

![SGCE antibody [N1C1]](https://img1.dxycdn.com/2022/0328/529/5032278622971300453-14.jpg!wh200)



