相关产品推荐更多 >
万千商家帮你免费找货
0 人在求购买到急需产品
- 详细信息
- 文献和实验
- 技术资料
- 免疫原:
Synthetic peptide from human HMGN1.
- 亚型:
IgG
- 形态:
Liquid
- 保存条件:
Store as concentrated solution. Centrifuge briefly prior to opening vial. For short-term storage (1-2 weeks), store at 4ºC. For long-term storage, aliquot and store at -20ºC or below. Avoid multiple freeze-thaw cycles.
- 克隆性:
Polyclonal
- 标记物:
Unconjugated
- 适应物种:
Human
- 保质期:
12 months from the shipping date of the product.
- 抗原来源:
Human
- 目录编号:
GTX85600
- 级别:
Primary Antibodies
- 库存:
Available
- 供应商:
GeneTex
- 宿主:
Rabbit
- 应用范围:
WB, IHC-P, ELISA
- 浓度:
1 mg/ml (Please refer to the vial label for the specific concentration.)
- 靶点:
HMG14 (phospho Ser20/Ser24)
- 抗体英文名:
HMG14 (phospho Ser20/Ser24) antibody
- 抗体名:
HMG14 (phospho Ser20/Ser24) 抗体
- 规格:
50 μg
WB analysis of various sample lysates using GTX85600 HMG14 (phospho Ser20/Ser24) antibody. Recombinant native and mutant HMGN proteins were treated with kinase PKCalpha to specifically phosphorylate S20 and S24 residues.
Lane 1 : HMGN1, non-phosphorylated
Lane 2 : HMGN1, phosphorylated
Lane 3 : HMGN1 delta20E, delta24E, non-phosphorylated
Lane 4 : HMGN1, delta20E, delta24E, phosphorylated
Lana 5 : HMGN2, non-phosphorylated
Lane 6 : HMGN2, phosphorylated
Dilution : 1:1000
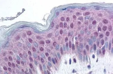
IHC-P analysis of human skin tissue using GTX85600 HMG14 (phospho Ser20/Ser24) antibody.
Antigen retrieval : Heat-induced antigen retrieval
Dilution : 20 μg/ml
风险提示:丁香通仅作为第三方平台,为商家信息发布提供平台空间。用户咨询产品时请注意保护个人信息及财产安全,合理判断,谨慎选购商品,商家和用户对交易行为负责。对于医疗器械类产品,请先查证核实企业经营资质和医疗器械产品注册证情况。
文献和实验Using Phospho‐Motif Antibodies to Determine Kinase Substrates
Figure 18.20.1 The specificity of phospho‐motif antibodies. HeLa cells were serum‐starved for 24 hr prior to being stimulated with 50 ng/ml IGF‐1 or 100 nM PMA for 10 min. Lysates were immunoblotted with anti‐Akt/PKB phospho‐motif (left panel
Optimized Protocol to Make Phospho-Specific Antibodies that Work
, not simply its level of expression. In this review, we will discuss both the design of the phosphopeptide immunogen and immunization. The affinity purification of the phospho-specific antibody as well as the methods most suitable for characterizing
at 10, 25, and 50 μM). At 24 h post-treatment, celllysates were obtained; SDS-PAGE and Western blotting were performed as described in Section 3, Methods. AR-A014418dose-dependent decreases of phospho-β-catenin (Ser33/37) and phospho-glycogen synthase
技术资料暂无技术资料 索取技术资料











