相关产品推荐更多 >
万千商家帮你免费找货
0 人在求购买到急需产品
- 详细信息
- 文献和实验
- 技术资料
- 免疫原:
Full length human recombinant protein of human ANXA11 (NP_001148) produced in HEK293T cell.
- 亚型:
IgG1
- 形态:
Liquid
- 保存条件:
Store as concentrated solution. Centrifuge briefly prior to opening vial. For short-term storage (1-2 weeks), store at 4ºC. For long-term storage, aliquot and store at -20ºC or below. Avoid multiple freeze-thaw cycles.
- 克隆性:
Monoclonal
- 标记物:
Unconjugated
- 适应物种:
Human, Monkey
- 保质期:
12 months from the shipping date of the product.
- 抗原来源:
Human
- 目录编号:
GTX84884
- 级别:
Primary Antibodies
- 库存:
Available
- 供应商:
GeneTex
- 宿主:
Mouse
- 应用范围:
WB, ICC/IF, FACS, IP
- 浓度:
1 mg/ml (Please refer to the vial label for the specific concentration.)
- 靶点:
Annexin XI
- 抗体英文名:
Annexin XI antibody [1C6]
- 抗体名:
Annexin XI 抗体 [1C6]
- 规格:
100 μl
WB analysis of HEK293T cells transfected with Annexin XI plasmid (Right) or empty vector (Left) for 48 hrs using GTX84884 Annexin XI antibody [1C6].
Loading : 5 ug per lane
FACS analysis of HEK293T cells transfected with either Annexin XI plasmid(Red) or empty vector control plasmid(Blue) using GTX84884 Annexin XI antibody [1C6].
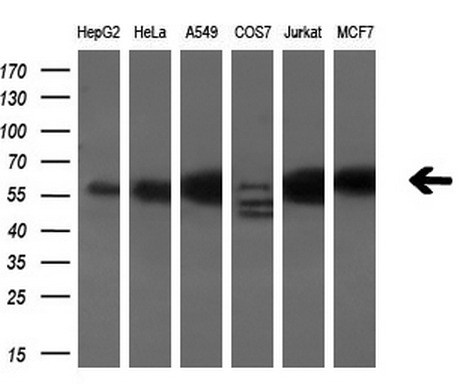
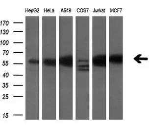
WB analysis of various cell lines using GTX84884 Annexin XI antibody [1C6].
Loading : 10 ug per lane
Dilution : 1:200
ICC/IF analysis of COS7 cells transiently transfected with Annexin XI plasmid using GTX84884 Annexin XI antibody [1C6].
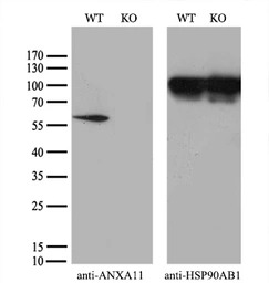
WB analysis of wild type and Annexin XI knock out 293T cell lysate(10μg per lane) using GTX84884 Annexin XI antibody [1C6].
Dilution : 1:500
风险提示:丁香通仅作为第三方平台,为商家信息发布提供平台空间。用户咨询产品时请注意保护个人信息及财产安全,合理判断,谨慎选购商品,商家和用户对交易行为负责。对于医疗器械类产品,请先查证核实企业经营资质和医疗器械产品注册证情况。
文献和实验祝贺〖雅裕睿安〗成为Signalway Antibody(SAB)独家
货号T509,产品描述:GST-Tag mouse mAb;规格 50 ul / 100 ul; 货号T510,产品描述:DYKDDDDK-Tag mouse mAb;规格 50 ul / 100 ul; 货号21338,产品描述:β-Actin Antibody;规格 50 ul / 100 ul; 货号21339,产品描述:Annexin A1 Antibody;规格 50 ul / 100
Biotinylation of Antibody ( Contributed by Nanci Donacki ) Antibody labeling (House Ear Institute)Labeling protocols using affinity markers. Coupling Colloidal Gold to Protein (Walter Steffen)Gold labelling of rabbit IgGPreparation
Biosynthetic labeling (Sefton Lab) Biotinylation of Antibody (Contributed by Nanci Donacki) 125 I Labeling of Protein using ICl (ScienceXchange) Protein (Antibody) Fluorescent Labeling (Mario Roederer) Gives detailed
技术资料暂无技术资料 索取技术资料








![beta Catenin antibody [CTNNB1/1509]](https://img1.dxycdn.com/2022/0328/769/1045762598300700453-14.jpg!wh200)

