相关产品推荐更多 >
万千商家帮你免费找货
0 人在求购买到急需产品
- 详细信息
- 文献和实验
- 技术资料
- 免疫原:
Full length human recombinant protein of human CD5 (NP_055022) produced in HEK293T cell.
- 亚型:
IgG1
- 形态:
Liquid
- 保存条件:
Store as concentrated solution. Centrifuge briefly prior to opening vial. For short-term storage (1-2 weeks), store at 4ºC. For long-term storage, aliquot and store at -20ºC or below. Avoid multiple freeze-thaw cycles.
- 克隆性:
Monoclonal
- 标记物:
Unconjugated
- 适应物种:
Human
- 保质期:
12 months from the shipping date of the product.
- 抗原来源:
Human
- 目录编号:
GTX84709
- 级别:
Primary Antibodies
- 库存:
Available
- 供应商:
GeneTex
- 宿主:
Mouse
- 应用范围:
WB, ICC/IF, IHC-P, FACS
- 浓度:
0.68 mg/ml (Please refer to the vial label for the specific concentration.)
- 靶点:
CD5
- 抗体英文名:
CD5 antibody [7A7]
- 抗体名:
CD5 抗体 [7A7]
- 规格:
100 μl
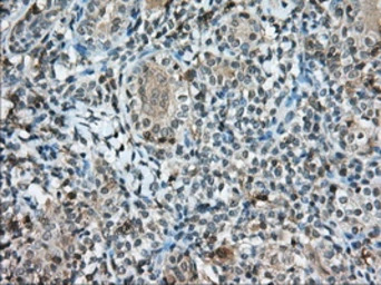
IHC-P analysis of human ovary adenocarcinoma tissue using GTX84709 CD5 antibody [7A7].
Antigen retrieval : Heat-induced epitope retrieval by 10mM citrate buffer, pH6.0, 100ºC for 10min.
Dilution : 1:50
FACS analysis of Jurkat cells using GTX84709 CD5 antibody [7A7].
Red : Primary antibody
Blue : Negative control antibody
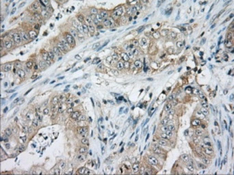
IHC-P analysis of human colon adenocarcinoma tissue using GTX84709 CD5 antibody [7A7].
Antigen retrieval : Heat-induced epitope retrieval by 10mM citrate buffer, pH6.0, 100ºC for 10min.
Dilution : 1:50
IHC-P analysis of human kidney tissue using GTX84709 CD5 antibody [7A7].
Antigen retrieval : Heat-induced epitope retrieval by 10mM citrate buffer, pH6.0, 100ºC for 10min.
Dilution : 1:50
WB analysis of HEK293T cells transfected with CD5 plasmid (Right) or empty vector (Left) for 48 hrs using GTX84709 CD5 antibody [7A7].
Loading : 5 ug per lane
ICC/IF analysis of COS7 cells transiently transfected with CD5 plasmid using GTX84709 CD5 antibody [7A7].
FACS analysis of HEK293T cells transfected with either CD5 plasmid(Red) or empty vector control plasmid(Blue) using GTX84709 CD5 antibody [7A7].
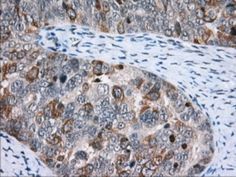
IHC-P analysis of human thyroid carcinoma tissue using GTX84709 CD5 antibody [7A7].
Antigen retrieval : Heat-induced epitope retrieval by 10mM citrate buffer, pH6.0, 100ºC for 10min.
Dilution : 1:50
风险提示:丁香通仅作为第三方平台,为商家信息发布提供平台空间。用户咨询产品时请注意保护个人信息及财产安全,合理判断,谨慎选购商品,商家和用户对交易行为负责。对于医疗器械类产品,请先查证核实企业经营资质和医疗器械产品注册证情况。
文献和实验CD5 分子 CD5 常用单克隆抗体或代号:T1,UCHT2,T101,Leul 主要表达细胞:T,Thy,BsubC T细胞 分子质量(kDa)和结构:gp67(清除剂受体) 功 能:与CD72结合,T细胞信号转导和增殖,CD5+ B细胞与自身免疫有关 CD5 Belongs to ancient scavenger receptor family
Combined Flow Cytometric Measurement of Two Cell-Surface Antigens and DNA-RNA Content
Actinomycin D (AD) stock solution (1 mg/mL) 7-aminoactinomycin D (7-AAD) stock solution (1 mg/mL) Antibody staining solution Human cells of interest, fresh or cultured (or immortalized human cell lines) Monoclonal antibodies (mAb
MATERIALS T-cell: CD2 IgG2b, 01171D B-cell: B220 (CD45R) IgG2a, 01121A CD3 IgG2b, 28001D Monocytic: Mac1 (CD11b) IgG2b, 01711A CD5 IgG2a, 01031
技术资料暂无技术资料 索取技术资料






![NFkB p105/p50 antibody [5D10]](https://img1.dxycdn.com/2022/0328/794/2710737363892500453-14.jpg!wh200)
![Estrogen Receptor alpha antibody [8H9A10]](https://img1.dxycdn.com/2022/0328/328/5725425331557500453-14.jpg!wh200)
![F-Actin antibody [NH3]](https://img1.dxycdn.com/2022/0328/832/7608285527148300453-14.jpg!wh200)
![MUC1 antibody [MSVA-672R] HistoMAX](https://custom.dxycdn.com/trademd/upload/pic/2013/11/12/A1383891150.jpg!small.t.1)

