相关产品推荐更多 >
万千商家帮你免费找货
0 人在求购买到急需产品
- 详细信息
- 文献和实验
- 技术资料
- 免疫原:
The antiserum was produced against synthesized phosphopeptide derived from human Histone H3.1 around the phosphorylation site of serine 28(R-K-Sp-A-P).
- 亚型:
IgG
- 形态:
Liquid
- 保存条件:
Store as concentrated solution. Centrifuge briefly prior to opening vial. For short-term storage (1-2 weeks), store at 4ºC. For long-term storage, aliquot and store at -20ºC or below. Avoid multiple freeze-thaw cycles.
- 克隆性:
Polyclonal
- 标记物:
Unconjugated
- 适应物种:
Human
- 保质期:
12 months from the shipping date of the product.
- 抗原来源:
Human
- 目录编号:
GTX79053
- 级别:
Primary Antibodies
- 库存:
Available
- 供应商:
GeneTex
- 宿主:
Rabbit
- 应用范围:
WB, IHC-P
- 浓度:
Batch dependent (Please refer to the vial label for the specific concentration.)
- 靶点:
Histone H3S28ph (phospho Ser28)
- 抗体英文名:
Histone H3S28ph (phospho Ser28) antibody
- 抗体名:
Histone H3S28ph (phospho Ser28) 抗体
- 规格:
100 μg
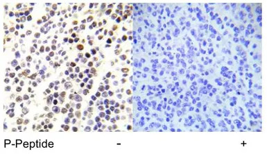
IHC-P analysis of human malignant lymphoma tissue using GTX79053 Histone H3S28ph (phospho Ser28) antibody.
WB analysis of HUVEC cells treated with serum lysate using GTX79053 Histone H3S28ph (phospho Ser28) antibody.
Left : Primary antibody
Right : Primary antibody preincubated with immunogen peptide
风险提示:丁香通仅作为第三方平台,为商家信息发布提供平台空间。用户咨询产品时请注意保护个人信息及财产安全,合理判断,谨慎选购商品,商家和用户对交易行为负责。对于医疗器械类产品,请先查证核实企业经营资质和医疗器械产品注册证情况。
文献和实验in detail here. The first protocol is essentially a dual-pulldown assay employing Flag-tagged DNMT3A or antibody of choice for an endogenous protein and 5' biotin linked antisense RNA (Figure 1a), while the second protocol is a triple pulldown assay which essentially expands
Using Phospho‐Motif Antibodies to Determine Kinase Substrates
comprising both the phosphorylated residue and the surrounding residues that determine kinase specificity, with degenerate residues taking up the remaining positions. Currently, several categories of phospho?motif antibody are commercially available
组蛋白是和染色体相联的最主要的蛋白质。它的作用是和染色体中的 DNA 的负电荷结合。组蛋白是比较小的碱性蛋白;在细胞正常 pH 值时,组蛋白带有正电荷,这样它们就可以和 DNA 结合,这个正电荷主要存在于碱性氨基酸 Lys 和 Arg 的 -NH3 上。其实,组蛋白约含 25% 的 Arg 和 Lys 。比其他蛋白的 Arg , Lys 的含量都多。和真核 DNA 结合的有 5 种类型的组蛋白: H1 , H2A , H2B , H3
技术资料暂无技术资料 索取技术资料











