相关产品推荐更多 >
万千商家帮你免费找货
0 人在求购买到急需产品
- 详细信息
- 文献和实验
- 技术资料
- 免疫原:
Full length human recombinant protein of human CRYAB (NP_001876) produced in HEK293T cell.
- 亚型:
IgG1
- 形态:
Liquid
- 保存条件:
Store as concentrated solution. Centrifuge briefly prior to opening vial. For short-term storage (1-2 weeks), store at 4ºC. For long-term storage, aliquot and store at -20ºC or below. Avoid multiple freeze-thaw cycles.
- 克隆性:
Monoclonal
- 标记物:
Unconjugated
- 适应物种:
Human, Rat
- 保质期:
12 months from the shipping date of the product.
- 抗原来源:
Human
- 目录编号:
GTX84659
- 级别:
Primary Antibodies
- 库存:
Available
- 供应商:
GeneTex
- 宿主:
Mouse
- 应用范围:
WB, ICC/IF, IHC-P, FACS, IP
- 浓度:
1 mg/ml (Please refer to the vial label for the specific concentration.)
- 靶点:
alpha B Crystallin
- 抗体英文名:
alpha B Crystallin antibody [6A9]
- 抗体名:
alpha B Crystallin 抗体 [6A9]
- 规格:
100 μl
ICC/IF analysis of HT29 cells using GTX84659 alpha B Crystallin antibody [6A9].
IHC-P analysis of human pancreas tissue using GTX84659 alpha B Crystallin antibody [6A9].
Antigen retrieval : Heat-induced epitope retrieval by 10mM citrate buffer, pH6.0, 100ºC for 10min.
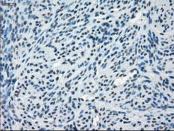
IHC-P analysis of human endometrium tissue using GTX84659 alpha B Crystallin antibody [6A9].
Antigen retrieval : Heat-induced epitope retrieval by 10mM citrate buffer, pH6.0, 100ºC for 10min.
FACS analysis of HEK293T cells transfected with either alpha B Crystallin plasmid(Red) or empty vector control plasmid(Blue) using GTX84659 alpha B Crystallin antibody [6A9].
IP analysis of DDDDK tagged alpha B Crystallin overexpressed HEK293T lysate using GTX84659 alpha B Crystallin antibody [6A9].After extensive wash to remove any non-specific binding, the immuno-precipitated products were analyzed with rabbit anti-DDDDK polyclonal antibody.
IP reaction : 2μg antibody / 500μl cell lysate
WB analysis of HEK293T cells transfected with alpha B Crystallin plasmid (Right) or empty vector (Left) for 48 hrs using GTX84659 alpha B Crystallin antibody [6A9].
Loading : 5 ug per lane
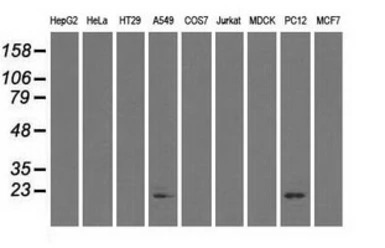
WB analysis of various cell lines using GTX84659 alpha B Crystallin antibody [6A9].
Loading : 35 ug per lane
ICC/IF analysis of COS7 cells transiently transfected with alpha B Crystallin plasmid using GTX84659 alpha B Crystallin antibody [6A9].
风险提示:丁香通仅作为第三方平台,为商家信息发布提供平台空间。用户咨询产品时请注意保护个人信息及财产安全,合理判断,谨慎选购商品,商家和用户对交易行为负责。对于医疗器械类产品,请先查证核实企业经营资质和医疗器械产品注册证情况。
文献和实验In situ hybridisation to alpha satellite sequences (chromosome specific)
Alpha satellite sequences, whilst highly repetitive, are specific to each individual chromosome. These sequences flank the centromeres and can present a target measured in megabases. In this protocol a biotin or digoxigenin labelled DNA
domesticus x Mus spretus] F1 DNA). In the analysis of the antibody bound (B) and unbound (U) fractions (right panel), the bands representing the maternal and paternal alleles are indicated.MATERIALS Reagents100-bp DNA step ladder (for duplex PCR
or HP1s associated with 5' biotin labeled siRNA EF52. Schematic methodology is shown for detection from cell lysates of biotin labeled siRNAs in complex with flag-tagged DNMTs or HP1s (alpha, beta, or gamma). B) Triple immunoprecipitation assay
技术资料暂无技术资料 索取技术资料











