相关产品推荐更多 >
万千商家帮你免费找货
0 人在求购买到急需产品
- 详细信息
- 文献和实验
- 技术资料
- 免疫原:
Full-length protein expressed in 293T cell transfected with human IDH1 expression vector
- 亚型:
IgG1
- 形态:
Liquid
- 保存条件:
Store as concentrated solution. Centrifuge briefly prior to opening vial. For short-term storage (1-2 weeks), store at 4ºC. For long-term storage, aliquot and store at -20ºC or below. Avoid multiple freeze-thaw cycles.
- 克隆性:
Monoclonal
- 标记物:
Unconjugated
- 适应物种:
Human
- 保质期:
12 months from the shipping date of the product.
- 抗原来源:
Human
- 目录编号:
GTX84319
- 级别:
Primary Antibodies
- 库存:
Available
- 供应商:
GeneTex
- 宿主:
Mouse
- 应用范围:
WB, ICC/IF
- 浓度:
1 mg/ml (Please refer to the vial label for the specific concentration.)
- 靶点:
IDH1
- 抗体英文名:
IDH1 antibody [2H9]
- 抗体名:
IDH1 抗体 [2H9]
- 规格:
100 μl
WB analysis of HEK293T cells transfected with IDH1 plasmid (Right) or empty vector (Left) for 48 hrs using GTX84319 IDH1 antibody [2H9].
Loading : 5 ug per lane
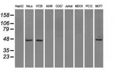
WB analysis of various cell lines using GTX84319 IDH1 antibody [2H9].
Loading : 35 ug per lane
ICC/IF analysis of COS7 cells transiently transfected with IDH1 plasmid using GTX84319 IDH1 antibody [2H9].
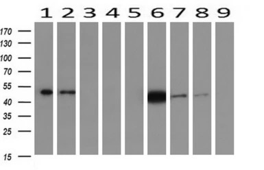
WB analysis of human tissues (Lane 1-Testis ; Lane 2-Omentum ; Lane 3-Uterus ; Lane 4-Breast ; Lane 5-Brain ; Lane 6-Liver ; Lane 7-Ovary ; Lane 8-Thyroid gland ; Lane 9-colon) using GTX84319 IDH1 antibody [2H9].
Loading : 10 ug per lane
Dilution : 1:200
WB analysis of wild type and IDH1 knock out HeLa cell lysate(10μg per lane) using GTX84319 IDH1 antibody [2H9].
Dilution : 1:500
风险提示:丁香通仅作为第三方平台,为商家信息发布提供平台空间。用户咨询产品时请注意保护个人信息及财产安全,合理判断,谨慎选购商品,商家和用户对交易行为负责。对于医疗器械类产品,请先查证核实企业经营资质和医疗器械产品注册证情况。
文献和实验Protective antibody responses against HIV-1 have yet to be identified or determined. HIV-1 envelope gpl20/gp41 is known to exist as a multimer (tetramers or trimers) on the surface of the virion (1 –4 ). A number of immunoassays
Lanthanide-Based Upconversion Nanoparticles for Connexin-Targeted Imaging in Co-cultures
. It was of interest to use connexin 43 gap junction protein-specific antibody on UCNs to target cardiac cell such as H9c2 and co-culture of bone marrow stem cells and H9c2.
Differentiating Neural Stem Cells into Neurons and Glial Cells
Basement Membrane Matrix Poly-L-Ornithine Laminin Dibutyryl cAMP T3 EM grade paraformaldehyde ProLong® Gold antifade reagent 实验材料 GIBCO® Human Neural Stem Cells (H9 hESC-Derived) 实验
技术资料暂无技术资料 索取技术资料





![Ly-6B.2 antibody [7/4] (Low endotoxin, azide free)](https://img1.dxycdn.com/2022/0329/915/2866035101164020453-14.jpg!wh200)





