相关产品推荐更多 >
万千商家帮你免费找货
0 人在求购买到急需产品
- 详细信息
- 文献和实验
- 技术资料
- 免疫原:
Human recombinant protein fragment corresponding to amino acids 91-381 of human CK8 (NP_002264) produced in E.coli.
- 亚型:
IgG2a
- 形态:
Liquid
- 保存条件:
Store as concentrated solution. Centrifuge briefly prior to opening vial. For short-term storage (1-2 weeks), store at 4ºC. For long-term storage, aliquot and store at -20ºC or below. Avoid multiple freeze-thaw cycles.
- 克隆性:
Monoclonal
- 标记物:
Unconjugated
- 适应物种:
Human, Dog, Monkey
- 保质期:
12 months from the shipping date of the product.
- 抗原来源:
Human
- 目录编号:
GTX84248
- 级别:
Primary Antibodies
- 库存:
Available
- 供应商:
GeneTex
- 宿主:
Mouse
- 应用范围:
WB, ICC/IF, IHC-P
- 浓度:
1 mg/ml (Please refer to the vial label for the specific concentration.)
- 靶点:
Cytokeratin 8
- 抗体英文名:
Cytokeratin 8 antibody [4D12]
- 抗体名:
Cytokeratin 8 抗体 [4D12]
- 规格:
100 μl
WB analysis of HEK293T cells transfected with Cytokeratin 8 plasmid (Right) or empty vector (Left) for 48 hrs using GTX84248 Cytokeratin 8 antibody [4D12].
Loading : 5 ug per lane
WB analysis of wild type and Cytokeratin 8 knock out HeLa cell lysate(10μg per lane) using GTX84248 Cytokeratin 8 antibody [4D12].
Dilution : 1:1000
ICC/IF analysis of COS7 cells transiently transfected with Cytokeratin 8 plasmid using GTX84248 Cytokeratin 8 antibody [4D12].
ICC/IF analysis of A549 cells using GTX84248 Cytokeratin 8 antibody [4D12].
WB analysis of various cell lines using GTX84248 Cytokeratin 8 antibody [4D12].
Loading : 35 ug per lane
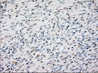
IHC-P analysis of human ovary tissue using GTX84248 Cytokeratin 8 antibody [4D12].
Antigen retrieval : Heat-induced epitope retrieval by 10mM citrate buffer, pH6.0, 100ºC for 10min.
风险提示:丁香通仅作为第三方平台,为商家信息发布提供平台空间。用户咨询产品时请注意保护个人信息及财产安全,合理判断,谨慎选购商品,商家和用户对交易行为负责。对于医疗器械类产品,请先查证核实企业经营资质和医疗器械产品注册证情况。
文献和实验上皮及间皮类常用标记抗体EPITHELIAL AND MESOTHELIAL MARKERSCK (MNF 116)- MNF-116 is a pan-cytokeratin antibody.- Source: Dakopatts.- Dilution 1:50.- Antigen retrieval method: HIER (pressure cooking) using EDTA.- Staining pattern: Cytoplasmic, typically
Immunocytochemical Detection and Characterisation of Individual Micrometastatic Tumour Cells
. This chapter describes a robust reliable system for the immunochemical detection of individual micrometastatic tumour cells from the BM aspirates of patients with solid epithelial tumours, based on the binding of antibody to cytokeratin proteins.
Fluorescent Immunohistochemistry and In Situ Hybridization Analysis of Pancreas
is always required for different tissues and antigens. Using a low-power antigen retrieval technique, with appropriate dilution of antibodies, we successfully immunostained key antigens in the pancreas such as insulin, PDX-1, glucagon, cytokeratin, and CD
技术资料暂无技术资料 索取技术资料





![DC-SIGN antibody [MR-1] (Low endotoxin, azide free)](https://img1.dxycdn.com/2022/0328/807/0060791828914400453-14.jpg!wh200)





