相关产品推荐更多 >
万千商家帮你免费找货
0 人在求购买到急需产品
- 详细信息
- 文献和实验
- 技术资料
- 免疫原:
Human recombinant protein fragment corresponding to amino acids 139-257 of human NT3 (NP_002518) produced in E.coli.
- 亚型:
IgG2a
- 形态:
Liquid
- 保存条件:
Store as concentrated solution. Centrifuge briefly prior to opening vial. For short-term storage (1-2 weeks), store at 4ºC. For long-term storage, aliquot and store at -20ºC or below. Avoid multiple freeze-thaw cycles.
- 克隆性:
Monoclonal
- 标记物:
Unconjugated
- 适应物种:
Human, Rat, Dog, Monkey
- 保质期:
12 months from the shipping date of the product.
- 抗原来源:
Human
- 目录编号:
GTX83984
- 级别:
Primary Antibodies
- 库存:
Available
- 供应商:
GeneTex
- 宿主:
Mouse
- 应用范围:
WB, IHC-P
- 浓度:
1 mg/ml (Please refer to the vial label for the specific concentration.)
- 靶点:
Neurotrophin 3
- 抗体英文名:
Neurotrophin 3 antibody [3D4]
- 抗体名:
Neurotrophin 3 抗体 [3D4]
- 规格:
100 μl
WB analysis of HEK293T cells transfected with Neurotrophin 3 plasmid (Right) or empty vector (Left) for 48 hrs using GTX83984 Neurotrophin 3 antibody [3D4].
Loading : 5 ug per lane
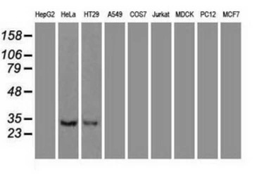
WB analysis of various cell lines using GTX83984 Neurotrophin 3 antibody [3D4].
Loading : 35 ug per lane
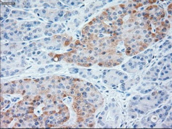
IHC-P analysis of human pancreas tissue using GTX83984 Neurotrophin 3 antibody [3D4].
Antigen retrieval : Heat-induced epitope retrieval by 10mM citrate buffer, pH6.0, 100ºC for 10min.
WB analysis of recombinant human NT3 using GTX83984 Neurotrophin 3 antibody [3D4].
Dilution : 1:10000
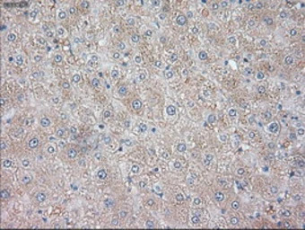
IHC-P analysis of human liver tissue using GTX83984 Neurotrophin 3 antibody [3D4].
Antigen retrieval : Heat-induced epitope retrieval by 10mM citrate buffer, pH6.0, 100ºC for 10min.
风险提示:丁香通仅作为第三方平台,为商家信息发布提供平台空间。用户咨询产品时请注意保护个人信息及财产安全,合理判断,谨慎选购商品,商家和用户对交易行为负责。对于医疗器械类产品,请先查证核实企业经营资质和医疗器械产品注册证情况。
文献和实验Toxin-Induced Death of Neurotrophin-Sensitive Neurons
-affinity neurotrophin receptor (p75NTR ) (2 ). This immunotoxin consists of a monoclonal antibody disulfide coupled to a ribosome inactivating protein. The most extensively used and studied version uses the antibody 192 IgG
Endocytosis and trafficking of Trk receptors are central to their functions in neuronal development. Neurotrophin binding to Trk receptors induces endocytosis of Trk receptors as a ligand–receptor complex in axon terminals
ELISPOT (Enzyme-linked ImmunoSPOT)
A 88-7370 eBio17CK15A5 eBio17B7 TNF-α 88-7328 1F3F3D4 mAb Cocktail Table 2: Human ELISPOT Ready-Set-Go! Sets & Antibody Selection Quick Guide
技术资料暂无技术资料 索取技术资料






![GSS antibody [1A12]](https://img1.dxycdn.com/2022/0328/544/5771933757548500453-14.jpg!wh200)



