相关产品推荐更多 >
万千商家帮你免费找货
0 人在求购买到急需产品
- 详细信息
- 技术资料
- 免疫原:
Full length human recombinant protein of human RNH1 (NP_002930) produced in HEK293T cell.
- 亚型:
IgG1
- 形态:
Liquid
- 保存条件:
Store as concentrated solution. Centrifuge briefly prior to opening vial. For short-term storage (1-2 weeks), store at 4ºC. For long-term storage, aliquot and store at -20ºC or below. Avoid multiple freeze-thaw cycles.
- 克隆性:
Monoclonal
- 标记物:
Unconjugated
- 适应物种:
Human, Rat, Dog, Monkey
- 保质期:
12 months from the shipping date of the product.
- 抗原来源:
Human
- 目录编号:
GTX83696
- 级别:
Primary Antibodies
- 库存:
Available
- 供应商:
GeneTex
- 宿主:
Mouse
- 应用范围:
WB, IHC-P, FACS
- 浓度:
0.94 mg/ml (Please refer to the vial label for the specific concentration.)
- 靶点:
Ribonuclease Inhibitor
- 抗体英文名:
Ribonuclease Inhibitor antibody [3F11]
- 抗体名:
Ribonuclease Inhibitor 抗体 [3F11]
- 规格:
100 μl
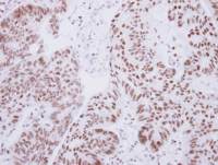
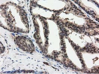
IHC-P analysis of human endometrium adenocarcinoma tissue using GTX83696 Ribonuclease Inhibitor antibody [3F11].
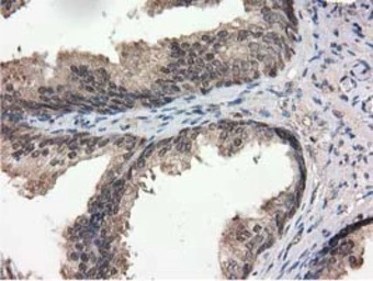
IHC-P analysis of human prostate tissue using GTX83696 Ribonuclease Inhibitor antibody [3F11].
IHC-P analysis of human lymph node tissue using GTX83696 Ribonuclease Inhibitor antibody [3F11].
FACS analysis of HeLa cells using GTX83696 Ribonuclease Inhibitor antibody [3F11].
Red : Primary antibody
Blue : Negative control antibody
IHC-P analysis of human kidney tissue using GTX83696 Ribonuclease Inhibitor antibody [3F11].
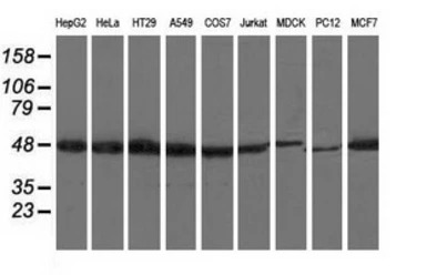
WB analysis of various cell lines using GTX83696 Ribonuclease Inhibitor antibody [3F11].
Loading : 35 ug per lane
IHC-P analysis of human thyroid tissue using GTX83696 Ribonuclease Inhibitor antibody [3F11].
IHC-P analysis of human liver tissue using GTX83696 Ribonuclease Inhibitor antibody [3F11].
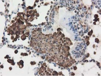
IHC-P analysis of human lung carcinoma tissue using GTX83696 Ribonuclease Inhibitor antibody [3F11].
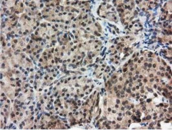
IHC-P analysis of human pancreas tissue using GTX83696 Ribonuclease Inhibitor antibody [3F11].
WB analysis of HEK293T cells transfected with Ribonuclease Inhibitor plasmid (Right) or empty vector (Left) for 48 hrs using GTX83696 Ribonuclease Inhibitor antibody [3F11].
Loading : 5 ug per lane
IHC-P analysis of human prostate carcinoma tissue using GTX83696 Ribonuclease Inhibitor antibody [3F11].
FACS analysis of HEK293T cells transfected with either Ribonuclease Inhibitor plasmid(Red) or empty vector control plasmid(Blue) using GTX83696 Ribonuclease Inhibitor antibody [3F11].
IHC-P analysis of human lymphoma tissue using GTX83696 Ribonuclease Inhibitor antibody [3F11].
风险提示:丁香通仅作为第三方平台,为商家信息发布提供平台空间。用户咨询产品时请注意保护个人信息及财产安全,合理判断,谨慎选购商品,商家和用户对交易行为负责。对于医疗器械类产品,请先查证核实企业经营资质和医疗器械产品注册证情况。
技术资料暂无技术资料 索取技术资料


![Ribonuclease Inhibitor antibody [3F11]](https://img1.dxycdn.com/2022/0328/786/4009993047408500453-14.jpg)


![c-Kit antibody [C117/370]](https://img1.dxycdn.com/2022/0328/511/9596367016730700453-14.jpg!wh200)




